ДИЗЕНТЕРИЙНАЯ АМЁБА — (Entamoeba histolytica), паразитич. простейшее класса амёб. Мельче обыкновенной амёбы (Amoeba proteus), очень подвижна, эктоплазма чётко отграничена от эндоплазмы, псевдоподии короткие и широкие. Возбудитель амёбного колита человека (амёбиаза).… … Биологический энциклопедический словарь
Дизентерийная амёба — (Entamoeba histolytica) простейшее из отряда амёб (См. Амёбы); возбудитель амёбной дизентерии (см. Амёбиаз). Впервые описан в 1875 русским учёным Ф. А. Лёшем. При попадании в кишечник человека Д. а. в большинстве случаев размножается в… … Большая советская энциклопедия
дизентерийная амёба — паразитическое простейшее отряда амёб. Размеры 20 30 мкм. Возбудитель амёбной дизентерии. * * * ДИЗЕНТЕРИЙНАЯ АМЕБА ДИЗЕНТЕРИЙНАЯ АМЕБА, паразитическое простейшее отряда амеб (см. АМЕБЫ). Размеры 20 30 мкм. Возбудитель амебной дизентерии … Энциклопедический словарь
ДИЗЕНТЕРИЙНАЯ АМЁБА — паразитич. простейшее отр. амёб. Размеры 20 30 мкм. Возбудитель амёбной дизентерии … Естествознание. Энциклопедический словарь
ДИЗЕНТЕРИЙНАЯ АМЕБА — паразитическое простейшее отряда амеб. Размеры 20 30 мкм. Возбудитель амебной дизентерии … Большой Энциклопедический словарь
бактерия дизентерийная — (син. палочка дизентерийная) общее название Б., вызывающих дизентерию у человека; к Б. д. относятся несколько видов шигелл … Большой медицинский словарь
бактерия дизентерийная Зонне — см. Зонне дизентерийная бактерия … Большой медицинский словарь
бактерия дизентерийная Флекснера — см. Флекснера дизентерийная бактерия … Большой медицинский словарь
бактерия дизентерийная Штутцера-Шмитца — см. Штутцера Шмитца дизентерийная бактерия … Большой медицинский словарь
палочка дизентерийная — см. Бактерия дизентерийная … Большой медицинский словарь
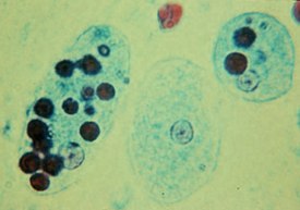
| Дизентерийная амёба |
Трофозоиты с поглощёнными эритроцитами |
| Научная классификация |
|---|
| Домен: | Эукариоты |
| Класс: | Tubulinea |
| Отряд: | Amoebida |
| Семейство: | Entamoebidae |
| Вид: | Дизентерийная амёба |
Международное научное название
Entamoeba histolytica Schaudinn, 1903
Дизентерийная амёба (лат. Entamoeba histolytica ) — вид паразитических простейших типа амёбозои. Вызывает тяжёлое заболевание — амёбиаз (амёбную дизентерию, амёбный колит). Вид впервые описан в 1875 году русским учёным Ф. А. Лёшем [1] .
Размером дизентерийная амёба мельче обыкновенной амёбы (Amoeba proteus), подвижна. Ложноножки у дизентерийной амёбы меньше, чем у обыкновенной. Эктоплазма чётко отграничена от эндоплазмы, псевдоподии короткие и широкие.
Содержание
Жизненный цикл [ править | править код ]
Может существовать в трёх формах: тканевой, просветной и цисты. Тканевая форма обнаруживается только у больных амёбиазом, другие — и у носителей.
Заражение [ править | править код ]
Заражение наступает при попадании цист в верхний отдел толстой кишки (слепая и восходящая ободочная кишка). Здесь цисты превращаются в просветные формы и внедряются в ткань кишки (тканевая форма), что сопровождается воспалением и формированием язв.
Просветная форма [ править | править код ]
Просветная форма дизентерийной амёбы (лат. forma minuta ) имеет размер около 20 мкм. Находится в верхнем отделе толстой кишки. Движется с помощью псевдоподий (ложноножек). Ядро сферическое, 3-5 мкм в поперечнике, хроматин расположен под ядерной оболочкой в виде небольших глыбок; в центре ядра небольшая кариосома. Питается бактериями.
Цикл развития. [ править | править код ]
Человек заражается амёбиазом, проглатывая цисты паразита. В двенадцатиперстной кишке происходит эксцистирование, в результате чего образуется молодая четырехъядерная метацистная амёба. В просвете толстой кишки за счёт следующих друг за другом делений, восемь мелких клеток, которые в дальнейшем превращаются в мелкие вегетативные формы. Вреда человеку они не приносят, мелкие вегетативные формы растут, питаются бактериями в просвете толстой кишки и размножаются. Они могут вновь инцистироваться и выходить наружу. При ухудшении условий существования хозяина(охлаждение, перегревание, авитаминозы, стресс, гельминтозы, хронические заболевания) мелкие вегетативные формы способны превращаться в крупные, которые вызывают образование язв. При этом разрушаются стенки кровеносных сосудов и возникают кровотечения в полость кишечника. Погружаясь глубже, они превращаются в тканевые формы, которые в особо тяжелых случаях могут попадать в кровь и разноситься по всему организму. При этом возможно образование абсцессов в печени, легких и других органах. В остром периоде заболевания у больного в фекалиях обнаруживаются не только цисты, но и трофозоиты.
Тканевая форма [ править | править код ]
При внедрении просветной формы амёбы в ткани образуется тканевая форма (лат. forma magna ) размером 20-60 мкм. В отличие от просветной формы не содержит в цитоплазме никаких включений. В этой стадии амёба размножается в стенке толстой кишки, образуя язвы. Язвенное поражение толстой кишки сопровождается выделением слизи, гноя и крови.
Большая вегетативная форма [ править | править код ]
Просветные и тканевые формы амёбы, попавшие в просвет кишки из язв, увеличиваются в размере до 30 мкм и больше и приобретают способность фагоцитировать эритроциты. Эта форма называется большой вегетативной, или эритрофагом.
Иногда амёбы из кишечника по кровеносным сосудам проникают в другие органы (прежде всего печень), формируя там вторичные очаги — абсцессы (внекишечный амёбиаз).
При затихании острой фазы болезни большая вегетативная форма уменьшается в размерах, переходит в просветную форму, которая инцистируется в кишечнике. Выброшенная при дефекации во внешнюю среду, она погибает в течение 15-20 минут.
Циста [ править | править код ]
Цисты образуются при сгущении фекалий в толстой кишке. Просветная форма окружается оболочкой и превращается в шаровидную цисту (размер около 12 мкм) с 4 ядрами, не отличающимися по строению от ядра вегетативной формы. Незрелые цисты содержат от 1 до 3 ядер. Имеют вакуоль с гликогеном. Часть цист имеет хроматоидные тела.
С фекалиями цисты выбрасываются во внешнюю среду и при попадании в желудочно-кишечный тракт человека после метацистной стадии развития (деления на 8 дочерних амёб) образуют просветные формы.
Цисты могут сохранять жизнеспособность в воде и влажной почве более месяца [1] .
Профилактика. [ править | править код ]
При данном заболевании существуют два типа профилактики: личная и общественная. Личная профилактика включает в себя мытьё овощей и фруктов кипячённой водой перед употреблением, питьё только кипячённой воды, мытьё рук перед едой, после посещения туалета и др. К общественной профилактике относятся: борьба с загрязнением почвы и воды фекалиями, обследование на цистоносительство людей, работающих на предприятиях общественного питания, лечение больных, уничтожение мух, санитарно-просветительская работа.
Примечания [ править | править код ]
- ↑ 12Дизентерийная амёба — статья из Большой советской энциклопедии
Применение данных видов профилактик поможет предотвратить заражение амёбиазом, и может быть предупредить вспышку данного заболевания (пр.: крупная вспышка в Чикаго во время Всемирной выставки 1933 года).
Дизентерийная амеба представляет собой паразитический микроорганизм. Она провоцирует многие инфекционные болезни, в том числе и амебиаз. Наибольшее распространение паразит имеет в странах с жарким климатом.
Характеристика
Для строения дизентерийной амебы характерно отсутствие каких-либо твердых оболочек, ее тело состоит из плазматической мембраны. Тем не менее кишечная амеба может очень быстро передвигаться, поскольку у нее огромное количество корненожек.
Амебы передвигаются на большие расстояния, чтобы найти питание. Питаются они разрушенными эритроцитами и эпителиальными клетками. Поселяются обычно в толстой кишке.
Попав в организм человека, амеба начинает свое активное развитие. Жизненный цикл дизентерийной амебы состоит из трех этапов:
- вегетативная амеба питается бактериями, такая форма обнаруживается в период ремиссии, она не приносит вреда, размножается цистами, человек является ее носителем;
- крупная амеба представляет собой наиболее опасный вариант, на этом этапе она поселяется в тканях кишечника и выделяет фермент, который разрушает кишечную среду, данный этап относится к периоду обострения;
- цисты амебы имеют округлую форму, это неподвижный вариант дизентерийной амебы, именно через эту форму происходит заражение человека.
Цисты могут жить в окружающей среде достаточно продолжительное время.
Они попадают на предметы окружающей среды и далее проникают в организм человека. С этого момента начинается цикл развития дизентерийной амебы.
На каждом этапе форма амебы меняется. Наибольшей опасности паразит достигает на этапе своего высшего развития, в этот период он провоцирует развитие такого заболевания, как кишечный амебиаз.
Обычно через две недели начинаются первые симптомы амебиаза. Если у человека хорошо развита иммунная система, она может противостоять распространению недуга. В этом случае заболевание может и не развиться.
Как происходит заражение
Заражение происходит путем попадания цист в ротовую полость. Пути передачи могут быть разные: цисты размещаются на руках, бытовых предметах, в еде или воде. Другой способ заражения – человек-носитель инфекции. Зараженный выделяет цисты, которые оказываются на предметах общего пользования. Переносить данных паразитов могут некоторые виды насекомых.
Не всегда может развиться дизентерия, если амеба проникла в организм. В некоторых случаях человек остается просто носителем этого вида паразитов.
При возникновении определенных условий амеба принимает иную форму и вызывает патологические явления в кишечнике. Врачами полностью не установлены причины, по которым дизентерийные амебы начинают принимать угрожающую форму.
Патологическая деятельность амебы заключается в разрушении тканей, покрывающих толстую кишку, при этом образуются язвы, появляется кровяной понос.
При правильно назначенном лечении от паразита можно избавиться. В то же время есть случаи летального исхода. Чтобы избежать серьезных последствий, необходимо иметь представление, что такое амебиаз.
Симптомы заболевания
Кишечный амебиаз – серьезное заболевание. Иное название недуга – амебная дизентерия. Возбудитель амебиаза – дизентерийная амеба. Недуг может развиться спустя три-четыре недели после заражения. У кишечного амебиаза симптомы такие:
- боли в животе нарастающего характера;
- слабость и недомогание;
- понос с наличием кровяных сгустков;
- повышение температуры тела;
- боли в животе;
- ухудшение аппетита;
- рвота.
Амебная дизентерия в тяжелой форме может проявляться язвами на коже в области живота, ягодиц, промежности.
Болезнь диагностируется у взрослых и у детей. Согласно медицинской практике, у мужчин данный недуг протекает гораздо легче, чем у женщин. Также заболеванию подвержены и дети. Детский организм при этом страдает гораздо сильнее, чем взрослый.
Для того чтобы избежать последствий и как можно быстрее устранить симптомы кишечного амебиаза, необходимо своевременно обращаться к врачу и начинать лечение. При неправильном лечении болезни может развиться хроническая форма амебиаза. Для этой формы характеристика симптомов выглядит следующим образом:
- боль тупого характера в области печени;
- температура сохраняется в норме;
- наблюдается повышенная утомляемость;
- постепенное истощение организма;
- затрудненное дыхание.
Хроническая форма заболевания может отразиться на состоянии сердечно-сосудистой системы и вызвать патологические процессы в сердце.
У амебной дизентерии симптомы могут осложняться и выражаться тяжелыми заболеваниями. У человека могут развиться серьезные заболевания: перитонит, аппендицит, гангрена толстой кишки.
Кроме кишечной формы заболевания, возможен и внекишечный вариант заболевания. К недугу такого рода относят:
- амебный гепатит, поражающий печень;
- легочный амебиаз – при заносе амеб в легкие вместе с кровотоком;
- церебральный амебиаз развивается при попадании амеб в головной мозг, также с током крови, это наиболее опасная форма недуга, при котором смерть наступает почти мгновенно;
- мочеполовой амебиаз – возбудитель заболевания попадает в мочевыводящие пути через язвочки, образовавшиеся в прямой кишке.
Кроме всего прочего, у людей со слабым иммунитетом возможно развитие кожного амебиаза. При таком заболевании на теле больного образуются язвочки с почерневшими краями, которые источают неприятный запах.
Признаки внекишечной формы
Внекишечная форма амебиаза может выражаться по-разному, в зависимости от локализации заболевания. Для печеночной формы характерно увеличение печени в объеме. Болезнь сопровождается повышением температуры, интоксикацией всего организма. В редких случаях паразиты могут спровоцировать развитие желтухи.
Описание легочного амебиаза: кашель и боль в области груди. В отделяемой слизи могут наблюдаться сгустки крови. В качестве осложнения может развиться гнойный плеврит, есть риск возникновения абсцесса легкого.
Для мочеполового амебиаза характерны воспалительные явления в мочевыводящих и половых органах.
При энцефалитном амебиазе возникает абсцесс головного мозга, эта форма недуга приводит к летальному исходу.
Диагностика заболевания
Диагностика амебиаза основывается на следующих показателях:
- эпидемиологическом анамнезе;
- клинической картине болезни;
- результатах лабораторного обследования.
Окончательный диагноз – кишечный амебиаз – выставляют по результатам паразитологического обследования. В данном случае на анализ берут:
- кал;
- ректальный мазок;
- образцы ткани, полученные с помощью биопсии.
Для того чтобы выявить амебиаз, для диагностики на анализ берут свежий кал, при этом исследование должно произойти не позднее 15 минут после дефекации, только так можно определить наличие паразитов. Забор кала производится несколько раз.
В качестве дополнительных методов исследования могут потребоваться следующие диагностические методы:
- УЗИ;
- ИФА;
- ПЦР;
- серологический тест;
- компьютерная томография;
- рентген.
Полученные данные помогут более точно определить локализацию патологических явлений и их размеры. Также по результатам исследования можно контролировать процесс лечения заболевания.
Лечение
Чтобы избавить больного от паразитов, лечение амебиаза проводят по одному из трех направлений:
- В первую группу входят препараты, которые уничтожают просветных паразитов, а именно амеб, локализующихся в просвете кишки.
- Вторая группа медикаментов борется с паразитами, которые обосновались в слизистых тканях прямой кишки.
- Третья группа имеет универсальное направление, она способна уничтожать как просветных, так и тканевых амеб.
Сочетание препаратов, дозу, продолжительность курса терапии должен определять только врач. Специалист разрабатывает курс терапии с учетом тяжести заболевания и его формы.
Амебиаз кишечника, протекающий в легкой форме, лечат в домашних условиях. Избавиться от недуга можно за несколько дней. При любых подозрениях на осложнение заболевания требуется стационарное лечение амебиаза, которое проводят в инфекционном отделении.
При амебиазе лечение назначают с использованием таких медикаментов:
- Хиниофон или Дийодохин – при хроническом течении заболевания;
- Эметин, Делагил, Хинамин – при остром течении болезни;
- антибиотики;
- Дигестал или Панзинорм – для купирования колитического синдрома;
- пребиотики или пробиотики – для восстановления микрофлоры.
В ходе лечения необходимо следовать специальной диете. Больному требуется употреблять больше белковой пищи и витаминов.
При наличии осложнений назначаются дополнительные медикаменты, направленные на устранение недуга. В некоторых случаях для устранения абсцессов может потребоваться хирургическое вмешательство.
Кожный амебиаз лечится с применением местных препаратов.
Профилактические меры
Для того чтобы не допустить заражения кишечным амебиазом, его симптомы можно предупредить соблюдением гигиенических правил. Тем, кто проживает на эпидемиологически неблагоприятных территориях, необходимо регулярно проводить химиопрофилактику.
Цисты любят влагу, они могут содержаться в воде. Не следует пить сырую воду, перед употреблением ее необходимо кипятить. Важно регулярно проводить дезинфекцию туалета с применением современных высококачественных препаратов.
Зараженный человек представляет опасность для окружающих. Необходимо предпринять соответствующие меры, чтобы заболевание не получило распространения.
Что может произойти при отсутствии лечения
При отсутствии лечения у больного начинают появляться признаки осложнения амебиаза. Кишечная форма может спровоцировать такие патологические состояния:
- перитонит;
- прободение;
- сужение просвета кишечника;
- аппендицит;
- кишечную непроходимость.
Внекишечный амебиаз приводит к таким заболеваниям:
Кроме этого, у человека происходят изменения в гормональном фоне. При отсутствии лечения больному грозит летальный исход. Чтобы не пропустить развитие болезни, необходимо иметь представление об амебиазе: что это такое.
Своевременные терапевтические процедуры препятствуют развитию недуга. Прогноз заболевания в данном случае будет благоприятным. При поздней диагностике болезни исход может быть непредсказуемым.
Трофозоиты с поглощёнными эритроцитами
