| Дизентерийная амёба |
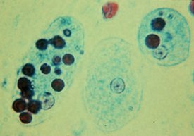
Трофозоиты с поглощёнными эритроцитами |
| Научная классификация |
|---|
| Домен: | Эукариоты |
| Класс: | Tubulinea |
| Отряд: | Amoebida |
| Семейство: | Entamoebidae |
| Вид: | Дизентерийная амёба |
Международное научное название
Entamoeba histolytica Schaudinn, 1903
Дизентерийная амёба (лат. Entamoeba histolytica ) — вид паразитических простейших типа амёбозои. Вызывает тяжёлое заболевание — амёбиаз (амёбную дизентерию, амёбный колит). Вид впервые описан в 1875 году русским учёным Ф. А. Лёшем [1] .
Размером дизентерийная амёба мельче обыкновенной амёбы (Amoeba proteus), подвижна. Ложноножки у дизентерийной амёбы меньше, чем у обыкновенной. Эктоплазма чётко отграничена от эндоплазмы, псевдоподии короткие и широкие.
Содержание
Жизненный цикл [ править | править код ]
Может существовать в трёх формах: тканевой, просветной и цисты. Тканевая форма обнаруживается только у больных амёбиазом, другие — и у носителей.
Заражение [ править | править код ]
Заражение наступает при попадании цист в верхний отдел толстой кишки (слепая и восходящая ободочная кишка). Здесь цисты превращаются в просветные формы и внедряются в ткань кишки (тканевая форма), что сопровождается воспалением и формированием язв.
Просветная форма [ править | править код ]
Просветная форма дизентерийной амёбы (лат. forma minuta ) имеет размер около 20 мкм. Находится в верхнем отделе толстой кишки. Движется с помощью псевдоподий (ложноножек). Ядро сферическое, 3-5 мкм в поперечнике, хроматин расположен под ядерной оболочкой в виде небольших глыбок; в центре ядра небольшая кариосома. Питается бактериями.
Цикл развития. [ править | править код ]
Человек заражается амёбиазом, проглатывая цисты паразита. В двенадцатиперстной кишке происходит эксцистирование, в результате чего образуется молодая четырехъядерная метацистная амёба. В просвете толстой кишки за счёт следующих друг за другом делений, восемь мелких клеток, которые в дальнейшем превращаются в мелкие вегетативные формы. Вреда человеку они не приносят, мелкие вегетативные формы растут, питаются бактериями в просвете толстой кишки и размножаются. Они могут вновь инцистироваться и выходить наружу. При ухудшении условий существования хозяина(охлаждение, перегревание, авитаминозы, стресс, гельминтозы, хронические заболевания) мелкие вегетативные формы способны превращаться в крупные, которые вызывают образование язв. При этом разрушаются стенки кровеносных сосудов и возникают кровотечения в полость кишечника. Погружаясь глубже, они превращаются в тканевые формы, которые в особо тяжелых случаях могут попадать в кровь и разноситься по всему организму. При этом возможно образование абсцессов в печени, легких и других органах. В остром периоде заболевания у больного в фекалиях обнаруживаются не только цисты, но и трофозоиты.
Тканевая форма [ править | править код ]
При внедрении просветной формы амёбы в ткани образуется тканевая форма (лат. forma magna ) размером 20-60 мкм. В отличие от просветной формы не содержит в цитоплазме никаких включений. В этой стадии амёба размножается в стенке толстой кишки, образуя язвы. Язвенное поражение толстой кишки сопровождается выделением слизи, гноя и крови.
Большая вегетативная форма [ править | править код ]
Просветные и тканевые формы амёбы, попавшие в просвет кишки из язв, увеличиваются в размере до 30 мкм и больше и приобретают способность фагоцитировать эритроциты. Эта форма называется большой вегетативной, или эритрофагом.
Иногда амёбы из кишечника по кровеносным сосудам проникают в другие органы (прежде всего печень), формируя там вторичные очаги — абсцессы (внекишечный амёбиаз).
При затихании острой фазы болезни большая вегетативная форма уменьшается в размерах, переходит в просветную форму, которая инцистируется в кишечнике. Выброшенная при дефекации во внешнюю среду, она погибает в течение 15-20 минут.
Циста [ править | править код ]
Цисты образуются при сгущении фекалий в толстой кишке. Просветная форма окружается оболочкой и превращается в шаровидную цисту (размер около 12 мкм) с 4 ядрами, не отличающимися по строению от ядра вегетативной формы. Незрелые цисты содержат от 1 до 3 ядер. Имеют вакуоль с гликогеном. Часть цист имеет хроматоидные тела.
С фекалиями цисты выбрасываются во внешнюю среду и при попадании в желудочно-кишечный тракт человека после метацистной стадии развития (деления на 8 дочерних амёб) образуют просветные формы.
Цисты могут сохранять жизнеспособность в воде и влажной почве более месяца [1] .
Профилактика. [ править | править код ]
При данном заболевании существуют два типа профилактики: личная и общественная. Личная профилактика включает в себя мытьё овощей и фруктов кипячённой водой перед употреблением, питьё только кипячённой воды, мытьё рук перед едой, после посещения туалета и др. К общественной профилактике относятся: борьба с загрязнением почвы и воды фекалиями, обследование на цистоносительство людей, работающих на предприятиях общественного питания, лечение больных, уничтожение мух, санитарно-просветительская работа.
Примечания [ править | править код ]
- ↑ 12Дизентерийная амёба — статья из Большой советской энциклопедии
Применение данных видов профилактик поможет предотвратить заражение амёбиазом, и может быть предупредить вспышку данного заболевания (пр.: крупная вспышка в Чикаго во время Всемирной выставки 1933 года).

Дизентерийная амёба в систематике простейших
Различные формы дизентерийной амебы
Дизентерийная амёба может существовать в трёх формах: тканевой, просветной и цисты. Тканевая форма обнаруживается только у больных амёбиазом, другие — и у носителей. Цисты дизентерийной амебы с водой или с пищей попадают в желудочно-кишечный тракт человека. В тонкой кишке под воздействием ферментов оболочка цисты растворяется и образуется восемь одноядерных амеб. В результате последующих делений они превращаются в вегетативные просветные стадии, трофозоиты, размером от 10 до 60 мкм, в среднем 25 мкм, имеющими одно ядро, местом обитания которых является просвет верхних отделов толстой кишки. По мере продвижения по кишечнику трофозоиты превращаются в одно-четырех ядерные цисты (в среднем 12 мкм в диаметре), которые выделяются с калом. 
Инвазивные или так называемые тканевые стадии амеб имеют большие размеры, чем просветные и способны прикрепляться к слизистой кишечника.
Дизентерийная амеба — возбудитель заболеваний человека
Большинство штаммов дизентерийной амебы не вызывает никаких заболеваний у человека. Не менее 90% инфекций дизентерийной амебы носят бессимптомный характер и лечить их не следует. При попадании в кишечник Entamoeba histolytica в большинстве случаев размножается в содержимом толстой кишки, не внедряясь в ткани и не вызывая нарушений функции кишечника (человек при этом здоров, но служит носителем дизентерийной амёбы).
Дизентерийная амёба может проникать в слизистую оболочку толстой кишки, где, предположительно вырабатываются нейрогуморальные вещества, которые вызывают секрецию в кишечнике и его поражение, в результате чего возникает диарея воспалительного типа. Для диагностики инвазивной формы болезни необходима идентификация гематофаговых трофозоитов в кале или язвах ободочной кишки. Проявления симптоматического амёбиаза включают в себя такие заболевания, как рефрактерная диарея в легкой форме, молниеносная дизентерия и абсцесс печени.
Амёбиаз — нетипичная причина кровянистой диареи у детей раннего возраста, на долю которой, как правило, приходится менее 3% заболевания. Обычно детей раннего возраста с кровянистой диареей не рекомендуется лечить по поводу амёбиаза. Такое лечение возможно только на основании результатов микроскопического исследования свежих проб стула, полученных в надежной лаборатории, и выявления трофозоитов Entamoeba histolytica в красных кровяных тельцах, или когда оказались клинически не эффективными два разных антибактериальных препарата, обычно обладающие действенностью в отношении Shigella dysenteriae в данной стране (на данной территории).
Некоторые из исследователей считают, что разница между высокой частотой выделения дизентерийной амебы и, в то же время, относительно низкой частотой клинических проявлений связан с наличием в популяции дизентерийной амебы двух видов амёб — потенциально патогенных штаммов Entamoeba histolytica, и непатогенной Entamoeba dispar, различить которые можно лишь путем анализа ДНК. Основным фактором вирулентности у дизентерийной амебы являются цистеиновые протеиназы, отсутствующие у Entamoeba dispar.
Одновременно различия патогенности штаммов дизентерийной амебы остается недостаточно изученным. Выявлено 9 потенциально патогенных штаммов дизентерийной амебы, и 13 непатогенных, имеющих разные ДНК.
ВОЗ рекомендует для лечения диареи, вызванной Entamoeba histolytica (дизентерийной амебой), принимать метронидазол три раза в день в течение пяти дней (при тяжелой форме — 10 дней) по 750 мг для взрослых и исходя из 10 мг на кг веса для детей
Лекарства, активные в отношении дизентерийных амёб
Entamoeba histolytica и амёбиаз в МКБ-10
Амёбиаз и Entamoeba histolytica упоминаются Международной классификации болезней МКБ-10 в «Классе I. Некоторые инфекционные и паразитарные болезни» где в блоке «A00-A09 Кишечные инфекции» для амёбиаза, вызванного Entamoeba histolytica, выделена трёхсимвольная рубрика «A06 Амёбиаз», содержащая следующие четырёхсимвольные рубрики:
- A06.0 Острая амёбная дизентерия. Острый амёбиаз. Кишечный амёбиаз без дополнительных уточнений
- A06.1 Хронический кишечный амёбиаз
- A06.2 Амёбный недизентерийный колит
- A06.3 Амебома кишечника. Амебома без дополнительных уточнений
- A06.4 Амёбный абсцесс печени. Печёночный амёбиаз
- A06.5 Амёбный абсцесс лёгкого. Амёбный абсцесс лёгкого (и печени)
- A06.6 Амёбный абсцесс головного мозга. Амёбный абсцесс головного мозга (и печени)(и лёгкого)
- A06.7 Кожный амёбиаз
- A06.8 Амёбная инфекция другой локализации. Амёбный аппендицит. Амёбный баланит
- A06.9 Амёбиаз неуточненный
Дизентерийная амеба представляет собой простейший паразит, который, попадая во внутрь человека, вызывают тяжёлые патологии: амебную дизентерию и амебный колит. Как и другие амебы, они приспособились к паразитирующему существованию внутри человека в толстой кишке, но при определённых условиях могут вызвать тяжёлое заболевание — амебиазу. Описаны впервые в 1875 году учёным Лёшем, широко распространены по всему земному шару, но больше всего подвержены заболеванию обитатели тропических и субтропических стран. В других климатических поясах люди чаще являются носителями дизентерийной амебы, а вспышки амебиазы встречаются довольно редко.
Структура дизентерийной амебы
Структура дизентерийной амебы следующая: это особь, постоянно меняющая свои контуры, величиной 20-30мкм, имеет сферическое ядро внутри эндоплазмы — внутреннего содержимого, обтянута эктоплазмой — внешним слоем клеточной цитоплазмы, нет скелета, очень подвижная, передвигается при помощи своеобразных отростков, носящих название псевдоподии или ложноножки. Движение её напоминает перетекание из одного очертания в другое. Существуют просветная, тканевая, большая вегетативная форма амебы и в виде цист. Размер просветной около 20мкм, находится она в просвете верхнего отдела толстого кишечника, питается его бактериями и не приносит никакого вреда носителю.
Жизненный цикл дизентерийной амебы
Жизненный цикл дизентерийной амебы начинается при попадании в желудочно-кишечный тракт. Пути заражения дизентерийной амебой фекально-оральные, бытовые. Вместе с фекалиями цисты попадают в окружающую среду, за сутки их выделяется более 300млн. Они проявляют большую устойчивость к температурным перепадам и другим неблагоприятным воздействиям. Так, цисты способны в течение месяца сохраняться при температуре 20ºС, неделю во влажной и затемнённой среде, до недели в охлаждённой пище, несколько месяцев при минусовых показателях. Попадают внутрь человека с грязными руками, немытыми продуктами, заражённой водой, путём тактильного контакта с руками больного человека. Их переносчиками бывают мухи и тараканы. Факторами, сопутствующими развитию патологии, являются беременность, дефицит белка, дисбактериоз, глисты — всё то, что снижает иммунитет.
Цисты дизентерийной амебы появляются из вегетативной после затихания острой фазы болезни. Часть их превращается в просветную, другие, оказываясь в среде сгущённых фекалий, становятся меньше, покрываются оболочкой и инцистируются. Они имеет 4 ядра и устроены так же, как и ядра вегетативной формы. Незрелые цисты могут иметь от одного до трёх ядер. Это самая жизнестойкая форма дизентерийной амебы, способная выжить в неблагоприятной внешней среде и, попав внутрь человека, возобновить жизненный цикл.
Инвазионная стадия дизентерийной амебы
Инвазионная стадия дизентерийной амебы характеризуется инкубационным периодом, который длится до двух недель. В это время происходит движение цист по отделам кишечника. По пути своего продвижения они внедряются в его слизистую. При этом более всего подвержены поражению поперечно-ободочный и нисходящий отделы толстого кишечника. На этом этапе двигаясь, цисты превращаются в вегетативную форму, содержащую в себе разрушительные для стенок кишечника ферменты — пепсин и трипсин. Это помогает паразиту внедряться в его слои, вплоть до мышечных, что становится ощутимым для человека.
Тканевая форма дизентерийных амеб
Тканевая форма дизентерийной амебы образуется при внедрении просветной в стенки кишечника. До сих пор учёные не выяснили причину, почему это происходит. Но на этой стадии амеба наносит повреждения слизистой оболочке толстой кишки. Именно эту форму её существования обнаруживают у больных на амебиаз. Размножаясь, она провоцирует образование язв на стенках кишечника, которые приводят к скоплению гноя, крови, слизи. Создаются условия для превращения просветных и тканевых форм в большую вегетативную. Они увеличиваются до 30мкм и способны поглощать эритроциты. Выходя наружу, вегетативная форма погибает.
Симптомы
С момента повреждения стенок проявляются клинические симптомы дизентерийной амебы. Признаки острого амебиаза нарастают постепенно с очевидной динамикой. Вначале учащается стул до 4-6 раз в сутки, каловые массы жидкой консистенции со слизью, имеющие резкий и неприятный запах. Постепенно походы в туалет всё увеличиваются и могут достичь 20 раз, появляются ложные позывы на дефекацию, в стекловидной слизи обнаруживаются кровяные сгустки. Повышается температура тела до 38ºС, которая держится несколько дней, живот вздут и болезненный. Лечение заболевания может длиться до полутора месяца, если же его не проводить, то наступает ремиссия и патология переходит в хроническую форму. Её симптомы выражаются в белом налёте на языке, неприятном запахе изо рта, плохом аппетите, похудении, признаках витаминодефицита (выпадении волос, ломкости ногтей, бледности кожи), болезненности живота. Со временем могут проявляться нарушения со стороны сердца и печени.
Диагностика
Диагностика проводится по методу от простого к более сложному и первоначально основывается на рассказе пациента о симптоматике: частоте и характере стула, болевых ощущениях, динамике развития болезни, а также измеряется температура. Далее берётся материал для лабораторных исследований. Если для этого нет возможности получить испражнения, с помощью эндоскопии берут биоптаты, а также исследуют стенки кишечника на предмет их повреждения, наличия язв. В качестве дополнительных методов прибегают к УЗИ почек, органов брюшной полости для оценки их состояния.
Лабораторная диагностика
Лабораторная диагностика заключается в исследовании под микроскопом кала, биоптатов, взятых из повреждённых очагов. В случае осложнений берут соскобы из носоглотки. Наличие в исследуемом материале цист и вегетативной формы амебы (трофозоитов) подтверждает диагноз. Для их лучшего их выявления мазки окрашиваются. В биоптатах при амебиазе обнаруживают трофозоиты с эритроцитами внутри. Используют также экспресс-диагностику с помощью метода Кунса для определения антител. Заключается он в том, что мазок окрашивают люминесцирующей сывороткой, бактерии на этом фоне имеют по периметру зелёный ободок. Другой подобный метод — иммуноферментный, основывающийся на реакции антиген-антитело, также используется в лабораторной диагностике.
При выявлении случая заболевания дизентерией необходимо определить источник-носитель, чтобы воспрепятствовать распространению массового заражения. Для этого про дизентерийную амебу сообщают в санитарную службу, которая проводит дезинфекцию точек общественного питания, если заражение произошло там, или других мест. Также исследуют лица, пребывающие в контакте с больным или работающих в общепите на носительство цист.
Дифференциальная диагностика
Задача дифференциальной диагностики состоит в том, чтобы отличить дизентерийную амебу от кишечной. Их отличие в структуре: оболочка дизентерийной двуконтурная, преломляющая свет, у неё 4 ядра (у кишечной — 8), расположенные эксцентрично, в неё включены кровяные тельца, чего нет в кишечной. Дизентерийная амеба более энергична в передвижениях.
Во многом симптомы схожи с малярией. Её возбудитель — малярийный плазмодий. Переносчиками плазмодия являются комары, а человек — промежуточный хозяин. С укусом насекомого, в отличие от дизентерийной амебы, плазмодий попадает в кровь, а потом в печень, где и происходит бесполое размножение, так называемая тканевая шизогония. В результате многократного деления, которое происходит в инкубационный период, появляется множество дочерних особей, поглощающих гемоглобин и разрушающих клетки печени. Малярия сопровождается тяжёлыми приступами лихорадки, озноба и признаками интоксикации организма.
Лечение
На лечение дизентерийной амебы направлено несколько групп лекарственных препаратов. Одни из них убивают просветную форму амебы, применяются на стадии ремиссии при хроническом течении болезни и для профилактики заболевания. Такие препараты носят название «прямые амебоциды», к ним относятся: дийодохин, хиниофон. При остром течении дизентерии используют медикаменты, направленные на тканевые и просветные формы: хинамин, эметин, амбильгар, дигидроэмитин. Есть универсальные препараты, такие как фурамид, трихопол. Также применяют антибиотики, ферментные и восстанавливающие микрофлору кишечника препараты. В комплексе с медикаментозным лечением обязательна специальная белковая щадящая диета, исключающая грубую острую пищу. Питание должно быть частым, но маленькими порциями, на первых порах — пища в протёртом виде. При наличии серьёзных осложнений возможно даже оперативное вмешательство.
Профилактика дизентерийной амебы
Специальных профилактических мероприятий не существует. Лучшей профилактикой является соблюдение санитарно-гигиенических правил: частое мытьё рук, овощей и фруктов, кипячение питьевой воды, предотвращение попадания на грядки фекалий из туалетов, борьба с тараканами. При выявлении вспышек заболеваний важно выявить носителей дизентерийной амебы.
Прогноз
Прогноз амебиаза при своевременно начатом лечении благоприятный. В случае, если состояние пациента осложнено прорывом абсцессов, кишечным кровотечением, сужением участков кишечника или же проникновением дизентерийных амеб в другие органы: печень, мозг, лёгкие, то возможен летальный исход.
ПОХОЖИЕ СТРАНИЦЫ:
АЮРВЕДА ИЗ ИНДИИ ДЛЯ ЗДОРОВЬЯ И КРАСОТЫ ПО МИНИМАЛЬНЫМ ЦЕНАМ! БОЛЬШОЙ АССОРТИМЕНТ В НАЛИЧИИ И ПОД ЗАКАЗ
Трофозоиты с поглощёнными эритроцитами
