Доли печени
Анатомию печени стоит рассматривать, начиная с самых крупных ее единиц. В строении органа выделяют две доли. На верхней (диафрагмальной) поверхности находится участок их разделения в виде серповидной связки. Доли печени несимметричны и имеют свои особенности строения:
- правая доля (большая) — на ее внешней части находятся глубокие борозды, которые дополнительно отделяют еще хвостатую и квадратную доли;
- левая доля — значительно уступает правой в размерах.
Основная часть органа покрыта брюшиной — серозной оболочкой. Доли органа остаются самыми крупными его составляющими. Однако для более детального исследования пользуются другой схемой, которая разделяет печень на 8 отдельных участков.
Секторы печени
Печеночные сегменты принято объединять в более масштабные зоны. Они называются секторами и представляют собой отдельные самостоятельные зоны органа. Те секторы, которые находятся на уровне одного сегмента и соответствуют его размерам, называют моносегментарными.
В анатомическом строении органа принято выделять 5 основных секторов:
- левый латеральный образуется на уровне 2-го сегмента;
- левый парамедианный берет начало из 3-го и 4-го сегментов;
- правый парамедианный имеет составляющие в виде 5-го и 8-го сегментов;
- правый латеральный образован 6-м и 7-м сегментами;
- левый дорсальный находится на уровне 1-го сектора.
Секторы и сегменты печени образуются еще задолго до рождения человека, в период внутриутробного развития. Организм заботится о целостности органа, поэтому в его строении присутствует большое количество повторяющихся участков. Они показывают высокую способность к регенерации, поэтому даже при отсутствии или после резекции отдельных участков орган может полностью восстановиться.

Кому показано МРТ
Сканирование показано пациентам с:
- инфекционными патологиями и воспалительными процессами;
- жалобами на болевые импульсы в правом подреберье, в верхней части абдоминальной области;
- закупоркой желчных протоков;
- нарушением кровообращения;
- клиническими проявлениями дисфункции печени, желчевыводящих путей;
- в процессе подготовки к хирургическому вмешательству или после операции;
- механическими повреждениями желчевыводящих протоков;
- желтухой неясной этиологии.

МРТ рекомендуют при подозрении на жировую дистрофию и цирроз, при увеличении печени.
Противопоказания к магнитному сканированию
Сканирование не рекомендовано в 1 триместре беременности, людям с установленными кардиостимуляторами, протезами, инсулиновыми помпами, татуировками, выполненными металлосодержащими красками. Не проводится при избыточной массе — свыше 120 кг.
Сканирование с контрастированием не проводится:
- при индивидуальной непереносимости препарата;
- людям с почечной недостаточностью;
- пациентам на гемодиализе;
- женщинам на любом сроке ожидания ребёнка и при подозрении на беременность.
После исследования кормящей мамы рекомендовано воздерживаться от грудного вскармливания на протяжении 48 часов.
К относительным противопоказаниям относят клаустрофобию, избыточную массу тела, психоэмоциональные нарушения, повышенную подвижность.
Полученные результаты не будут точными, если пациент не способен сохранять неподвижность. Для уменьшения тревожности пользуются седативными препаратами.
Подготовка к обследованию подразумевает отказ от пищи и питья за 7-9 часов до сканирования.
Чтобы лучше визуализировать органы за 48 часов до МРТ не употребляют пищу, которая вызывает повышенное газообразование: бобовые, крестоцветные, ферментированные продукты, репу, паслёновые.
Используют ветрогонные средства, уменьшающие газообразование: «Метеоспазмил», «Эспумизан».
Пациенту рекомендовано предупредить врача-диагноста об имплантатах, встроенных устройствах.
Требуется предоставить результаты предыдущих исследований: ультразвуковой диагностики, рентгенографии, биохимический анализ крови.
При исследовании ребёнка или пациентов, неспособных сохранять неподвижность, пользуются седацией.
Хронические болевые ощущения — показание для симптоматического использования анальгетика.
Подготовка с контрастированием подразумевает соблюдение требований:
- проведение пробы на переносимость препарата;
- исключение беременности;
- кормящим мамам рекомендовано предварительно сцедить грудное молоко, которое можно будет давать ребёнку на протяжении 2 дней после исследования.
Остальные подготовительные мероприятия аналогичны сканированию без контраста — исключение газообразующих продуктов и простых углеводов, отказ от пищи и питья накануне.
В чём суть методики магнитного сканирования
Магнитно-резонансная томография — современная методика, основанная на ядерных магнитных резонансах.
Магнитные поля водородных атомов поглощают и преобразуют энергию исследуемого участка тела.
Энергия высвобождается, датчики сканера преобразуют её в зрительный образ и выводят на экран компьютерного устройства.
После окончания диагностики получают серию снимков: послойное изображение тонких срезов органа, где можно рассмотреть структуру, функциональные изменения.
Людям с клаустрофобией рекомендованы аппараты с открытым контуром. Результаты такого сканирования менее информативны, но подойдут людям с избыточной массой тела и страхом закрытого пространства.
Качество полученного изображения ниже, по сравнению со сканером закрытого типа. Мощность открытых аппаратов — до 0,3 Тл, однако, они подходят пациентам с массой тела свыше 120-130 кг.
На какие сегменты делится печень
В печени имеется восемь сегментов. Они находятся вблизи зоны ворот. Их развитие происходит благодаря венам печени. Сегменты формируются еще во время нахождения плода внутри утробы матери. В медицине такое сегментарное разграничение печени является важным элементом, поскольку это помогает выявить и локализовать все изменения тканей органа. Кроме того, знание точного местонахождения определенного сегмента помогает врачам провести манипуляции, не травмируя другие части органа. Для диагностики печени и ее сегментов проводят КТ исследование.
Современные медики чаще используют метод Куино о разделении печени. Он был предложен еще в 50-ых годах. Согласно этой схеме печень имеет две доли:
- Левую. Она состоит из трех секторов, а также четырех сегментов. Дорсальный сектор имеет один сегмент – хвостатый, левый латеральный – задний сегмент, а парамедиальный – передний левый и квадратный сегмент.
- Правая. Имеет два сектора – правый латеральный (нижнезадний и верхнезадний сегмент) и парамедианный (нижнепередний и верхнепередний сегмент).
На КТ и МСКТ печени хорошо видны все части органа. Исследования помогают определить локализацию патологии по секторам и оценить состояние всех сегментов. Благодаря этому врачи могут поставить точный диагноз и назначить правильное лечение пациенту.
Что показывает МРТ печени?
С помощью МРТ врач может оценить состояние органа и эффективность лечения. В основе метода – получение послойных изображений, на которых видны изменения в тканях. МРТ печени, почек, мягких тканей, позвоночника, головного мозга и др.точнее и эффективнее, чем УЗИ или рентгенография. Процедура безболезненна и безопасна – в ходе нее организм не подвергается воздействию ионизирующего излучения, как, например, во время КТ. Поэтому при необходимости врач может назначать МРТ несколько раз за сравнительно небольшой промежуток времени. МРТ печени и поджелудочной железы показывает состояние желчных протоков и сосудов, позволяет обнаружить новообразования. Воспалительные процессы, изменения структуры органа, травматические повреждения – все это видно на снимках, даже если площадь пораженных участков невелика.
Строение печени
Снаружи печень покрыта серозной оболочкой, представленной висцеральной брюшиной. Небольшой участок в задней части не покрыт брюшиной — это внебрюшинное поле. Однако, несмотря на это, можно считать, что печень расположена интраперитонеально. Под брюшиной находится тонкая плотная фиброзная оболочка (глиссонова капсула) . Со стороны ворот печени фиброзная ткань проникает в вещество органа, сопровождая кровеносные сосуды. С учетом распределения кровеносных сосудов и желчных протоков в печени выделяют (по Куино, 1957) 2 доли, 5 секторов и 8 сегментов. В долях печени разветвляются соответствующие (правая и левая) ветви воротной вены. Согласно данным Куино, границей между правой и левой долями печени является условная плоскость, проходящая по линии, соединяющей ямку желчно- го пузыря впереди и борозду нижней полой вены сзади. Н левой доле выделяют З сектора и 4 сегмента, в правой — 2 сектора и также 4 сегмента. Каждый сектор представляет собой участок печени, в который входят ветвь воротной вены второго порядка и соответствующая ей ветвь печеночной артерии, а также нервы и выходит секторальный желчный проток. Под печеночным сегментом понимают участок печеночной паренхимы, окружающий ветвь воротной вены третьего порядка, соответствующие ей ветвь печеночной артерии и желчный проток. Левый дорсальный сектор, соответствующий первому (С 1) печеночному сегменту, включает хвостатую долю и виден только на висцеральной поверхности и задней части печени. Ллевый латеральный сектор (2-й сегмент — С II) охватывает задний участок левой доли печени. Левый парамедианный сектор занимает переднюю часть левой доли печени (3-й сегмент — С III) и ее квадратную долю (4-й сегмент — С IУ) с участком паренхимы на диафрагмальной поверхности органа в виде полосы, суживающейся кзади (к борозде нижней полой вены) . Правый парамедианный сектор представляет собой печеночную паренхиму, граничащую с левой долей печени. Н этот сектор входят 5-й сегмент (С У) , лежащий кпереди, и крупный 8-й сегмент (С УIII), занимающий заднемедиальную часть правой доли печени на ее диафрагмальной поверхности. Правый латеральный сектор, соответствующий самой латеральной части правой доли печени, включает 6-й- С УI (лежит впереди) и 7-й — С УII сегменты. Последний располагается позади предыдущего и занимает заднелатеральную часть диафрагмальной поверхности правой доли печени.
По своему строению печень — сложно разветвленная трубчатая железа, выводными протоками которой являются желчные протоки. Морфофункциональной единицей печени является долька печени. Она имеет форму призмы, размер ее в поперечнике от 1,0 до 2,5 мм. В печени человека таких долек около 500 000. Между дольками имеется небольшое количество соединительной ткани, в которой располагаются междольковые протоки (желчные) , артерии и вены. Обычно междольковые артерия, вена и проток прилежат друг к другу, образуя печеночную триаду. дольки построены ив соединяющихся друг с другом печеночных пластинок («балок») в виде сдвоенных радиально направленных рядов печеночных клеток. В центре каждой дольки находится центральная вена. Внутренние концы печеночных пластинок обращены к центральной вене, наружные — к периферии дольки. Между печеночными пластинками также радиально располагаются синусоидные капилляры, несущие кровь от периферии дольки к ее центру (к центральной вене). Внутри каждой печеночной пластинки между двумя рядами печеночных клеток имеется желчный проточек (каналец), являющийся начальным звеном желчевыводящих путей. В центре дольки (возле центральной вены) желчные проточки замкнуты, а на периферии долек они впадают в желчные междольковые проточки. Последние, сливаясь друг с другом, образуют более крупные желчные протоки. В конечном итоге в печени формируются правый печеночный проток, который выходит из правой доли печени, и левый печеночный проток, выходящий из левой доли печени. В воротах печени эти два протока сливаются, образуя общий печеночный проток, длиной 4-6 см. Между листками печеночно-двенадцатиперстной связки общий желчный проток сливается с пузырным протоком, в результате чего образуется общий желчный проток.
Функции печени
В начале статьи уже говорилось, что печень участвует в большей части процессов, происходящих в организме.
Коротко о самых главных функциях печени. К ним относятся:
- Гомеостатическая. Обеспечивает постоянство состава крови, регулирует содержание веществ, поступающих в кровь из пищи.
- Метаболическая. В печени человека синтезируются и распадаются важнейшие для жизнедеятельности белки, углеводы и жиры.
- Выделительная. Экскреция обеспечивается секрецией желчи. С желчью из организма удаляются конечные продукты обмена, яды.
- Защитная. Заключается в обезвреживании и недопущении поступления в кровь опасных для организма веществ.
- Депонирующая. Печень— хранилище различных важных для организма веществ: гликогена, липидов, витаминов, микроэлементов.
Нарушение любой из этих функций приводит к серьёзным заболеваниям.
Подходы к визуализации
Нативная (без контраста) компьютерная томография покажет лишь грубые отклонения от нормы:
- большие опухоли;
- конкременты;
- выраженное увеличение размеров и т.д.
КТ с контрастом
Контрастирование обычно выполняется в две фазы — артериальную и портально-паренхиматозную.
Контраст вводится в вену, затем через определенный промежуток начинается сканирование. В артериальной фазе получается изображение кровеносных сосудов, контрастируются также опухоли с обширным сосудистым руслом.
- Кавернозная гемангиома в артериальной фазе накапливает контраст в виде пристеночного узла, насыщенность которых примерно равно плотности крови в аорте.
- Метастазы чаще всего усиливаются в виде периферического кольца. Рак накапливает контраст неравномерно, в больших опухолях обнаруживаются темные участки некроза и более светлые мягкотканные включения.
- Для диагностики фиброзных опухолей, например, фокальной нодулярной гиперплазии, добавляется отсроченная фаза.

СКТ печени
Спиральная компьютерная томография (СКТ) — один из вариантов томографических исследований печени. При СКТ, в отличие от пошаговой томографии (КТ), данные собираются по спирали с перекрытием. Стол при СКТ движется непрерывно, а при пошаговой томографии дискретно, рывками.
Качество изображений при спиральном исследовании немного хуже, чем при пошаговом, но выше скорость и меньше доза облучения.
КТ на аппарате с несколькими рядами детекторов (обычно от 4 до 512) называют мультиспиральной (МСКТ). Так как аппараты с одним рядом детекторов сейчас уже не используются, все КТ-исследования вне пошагового режима по умолчанию являются мультиспиральными.
Предисловие к третьему изданию на английском языке
Компьютерная томография, появившись в лучевой диагностике в 70-е и достигшая широкого внедрения метода в 80-е, оставалась чем-то специальным и эксклюзивным. В наше время это важная составная часть амбулаторной и стационарной медицинской помощи. Показания к ее проведению определяет широкий круг врачей многих специальностей. Технические достоинства спиральной KT и объемной реконструкции открывают новые перспективы медицинской визуализации.
Современные методы лучевой диагностики в процессе обучения студентов-медиков на лекциях и практических занятиях представлены недостаточно. Когда они заканчивают высшие медицинские учебные заведения, пробелы в знаниях этого раздела часто значительны. Этому есть несколько причин. Одним из важных факторов, вероятно, является отсутствие адекватного места предмета «лучевая диагностика» в учебном процессе и преемственности преподаваемого материала на проводимых занятиях.
Это является хорошим поводом для разработки новых подходов к методике преподавания предмета, чтобы студенты полнее смогли осознать всю значимость медицинской визуализации. Восприятие нормальной анатомии и патологических изменений на основе базовых знаний по компьютерной томографии улучшается при формировании малых групп обучающихся. Так построены занятия в пробном медицинском образовательном проекте на медицинском факультете Дюссельдорфского университета, которые вызвали большой интерес. В процессе преподавания устранено разграничение между доклиническим и клиническим обучением, анатомические знания ориентированы на практику, а реальные и реконструированные изображения сопровождаются схемами и соответствующими пояснениями.
Необходимость третьего английского издания этого базового курса КТ за такой короткий период яапяется доказательством большого успеха первых изданий. Удачное планирование и дидактически правильное изложение сути предмета составляют характерную особенность этой книги. Добавленные разделы по защите от излучения, КТ-ангиофафии и протоколы исследований для мультиерезовой КТ (МСКТ) придают концепции книги логическую завершенность.
Дюссельдорф, лето 2007.
Проф. Ulrich Modder. М. D..
директор Института лучевой диагностики
Университет Генриха Гейне, Дюссельдорф. Германия.
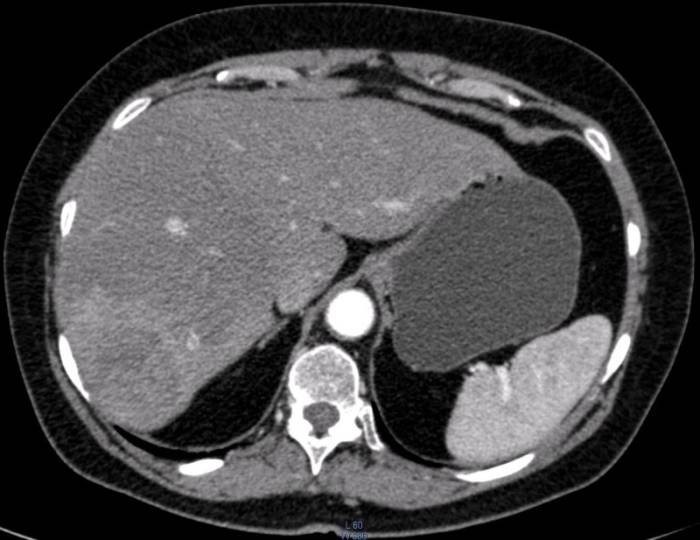
Методы обследования печени
Деление печени на доли, сегменты и секторы изобретено для более быстрой и эффективной диагностики ее заболеваний. На УЗИ большая ее часть скрыта за реберной дугой, поэтому стандартное ультразвуковое исследование не предполагает детального изучения печени. При подозрении на какую-либо патологию пациента обследуют методами МРТ или КТ. Они проводятся при подозрении на серьезные патологии или на наличие новообразований:
- киста выглядит как округлое образование с четкими краями;
- патологическое образование при онкологии может иметь разную форму и локализацию;
- гемангиома визуализируется после введения контрастного вещества внутривенно и обследования методом МРТ и КТ.
Сегменты печени на КТ или МРТ — это основной способ обозначить локализацию патологического новообразования или любого другого заболевания. Строение органа сложное, а большинство его частей образуются еще в период внутриутробного развития. Сегменты отделены друг от друга естественными преградами. Эта особенность позволяет одновременно фильтровать большое количество жидкости. Даже при заболевании одного из участков остальная паренхима печени примет участие в метаболических процессах и компенсирует его отсутствие.
Подходы к визуализации
Нативная (без контраста) компьютерная томография покажет лишь грубые отклонения от нормы:
- большие опухоли;
- конкременты;
- выраженное увеличение размеров и т.д.
КТ с контрастом
Контрастирование обычно выполняется в две фазы — артериальную и портально-паренхиматозную.
Контраст вводится в вену, затем через определенный промежуток начинается сканирование. В артериальной фазе получается изображение кровеносных сосудов, контрастируются также опухоли с обширным сосудистым руслом.
- Кавернозная гемангиома в артериальной фазе накапливает контраст в виде пристеночного узла, насыщенность которых примерно равно плотности крови в аорте.
- Метастазы чаще всего усиливаются в виде периферического кольца. Рак накапливает контраст неравномерно, в больших опухолях обнаруживаются темные участки некроза и более светлые мягкотканные включения.
- Для диагностики фиброзных опухолей, например, фокальной нодулярной гиперплазии, добавляется отсроченная фаза.

СКТ печени
Спиральная компьютерная томография (СКТ) — один из вариантов томографических исследований печени. При СКТ, в отличие от пошаговой томографии (КТ), данные собираются по спирали с перекрытием. Стол при СКТ движется непрерывно, а при пошаговой томографии дискретно, рывками.
Качество изображений при спиральном исследовании немного хуже, чем при пошаговом, но выше скорость и меньше доза облучения.
КТ на аппарате с несколькими рядами детекторов (обычно от 4 до 512) называют мультиспиральной (МСКТ). Так как аппараты с одним рядом детекторов сейчас уже не используются, все КТ-исследования вне пошагового режима по умолчанию являются мультиспиральными.
Компьютерная томография
Также для изучения состояния печени используется КТ (метод компьютерной томографии). Он позволяет определить почти все серьезные морфологические изменения на раннем этапе их развития:
- Киста и поликистоз,
- Тромбоз и обструкция воротной вены,
- Гнойные образования,
- Жировая дистрофия,
- Цирроз печени,
- Онкологический процесс,
- Гепатит, лимфома.
Нормальный размер печени по продольной линии измерения — от 250 до 300 миллиметров. Высота левой доли должна составлять не более 150-160 миллиметров, высота правой — не более 200-220 миллиметров. Показатели, которые свидетельствуют о здоровом состоянии печени:
- Более высокая плотность полости печени, нежели полости прилегающих органов (желчного пузыря, поджелудочной железы или селезенки),
- Легко определяемые воротная вена, желчевыводящего протока и печеночной вены,
- В структуре печеночных долек не обнаруживаются артерия печени или желчевыводящий проток.
https://youtube.com/watch?v=uLRUMnexQ1g
Следующие показатели могут быть признаком патологических изменений:
- Область затемнения с хорошо просматриваемыми границами, ткань имеет волнистую поверхность, что говорит о доброкачественном новообразовании (например, киста, гемангиома), для них характерны малый размер и медленное развитие,
- Темная часть ткани с ребристыми, расплывшимися или бугорчатыми краями, что говорит о злокачественном новообразовании, такое может иметь большой размер и быстро расти,
- более насыщенный цвет некоторых участков печени, исчезновение некоторых каналов или появление новых, что означает патологию желчевыводящего протока или системы кровообращения.

Анатомия левой доли
По классификации Куино и в правой, и в левой доле печени расположено по 4 сегмента. Воротная вена делит доли печени на верхние и нижние, передние и задние сегменты.
Помимо Куино над классификацией работали и другие авторы, поэтому в разных источниках названия сегментов могут различаться, что не принципиально.
На диафрагмальной поверхности сегменты нумеруются по часовой стрелке, а на висцеральной против часовой стрелке; на изображениях обычно римскими цифрами. В медицинской терминологии крайние области принято называть латеральными, срединные—медиальными.
1
Между продольными бороздами висцеральной поверхности позади ворот печени (поперечной борозды, через которую входит воротная вена) находится 1-ый сегмент. Он не виден на диафрагмальной поверхности.
2
Сегмент II. Левый латеральный верхний. В некоторых источниках встречается другое название: левый латеральный задний. То, что один объект носит разные названия, не свидетельствует о каком-то противоречии. Эти разночтения связаны с пространственной формой органа. Слова «задний», «передний», «латеральный» употребляются для уточнения положения сегмента.
4
4-ый сегмент печени. Левый медиальный. Бисмут (Н. Bismuth) в 1982 предложил делить сегмент IV на IVa и IVb: левый медиальный верхний и нижний.
Анатомическое строение и функции печени
Самая крупная железа организма весит 1,5 кг. Примерно на 85% она состоит из гепатоцитов. Два ряда таких клеток образовывают трабекулу. Их сочетание с другими клеточными соединениями формирует дольки печени. Из долек складываются большие доли:
- Правая — самая крупная, расположена справа под ребрами. При воспалении можно нащупать ее края пальцами, они выступают из-под реберной дуги. Включает в себя 4 сегмента, из них кровь поступает в общую печеночную вену (ОПВ).
- Левая. Толщина левой доли намного меньше. Она находится в левом эпигастрии. Состоит из двух сегментов. Из них кровь также поступает в ОПВ.
- Квадратная — располагается на нижней поверхности, относится к сегментарному аппарату левой части. Снабжена веной, по которой кровь направляется в ОПВ.
- Хвостатая — отделена от квадратной поперечной бороздой, находится сзади нее. Относится к структуре левой части печени. Отток крови происходит в общую печеночную вену посредством местной вены.
Все доли печени отвечают за отток жидкостей. Помимо крови, из них посредством отдельных канальцев, которые располагаются между гепатоцитами, выходит печеночный секрет – желчь.
Деление печени на сегменты помогает докторам во время проведения ультразвукового осмотра (или с помощью другой методики) данного органа.
Сегменты удерживаются вместе за счет ряда связок брюшины, тянущихся с мышечной перегородки, которая отделяет брюшную полость от грудной. Брюшная сетка спаяна с печенью тонкой фиброзной оболочкой. Из этой оболочки сформирована капсула печени, или глиссонова сумка. За счет нее орган имеет неизменную форму. Связки печени имеют индивидуальные названия, делятся на подвешивающие и поддерживающие. К первой группе относятся:
- Серповидная — разделяет печень на две части.
- Круглая связка — располагается внизу серповидной.
- Венечная — связана с листками серповидной связки. Фиксирует внебрюшинную часть железы к задней стенке живота.
- Триангулярные — края венечной, имеют вид треугольников, фиксируют железу к грудобрюшной перегородке.
Поддерживающие связки (печеночно-желудочная, 12-перстная) соединяют нижнюю поверхность железы с вогнутым краем желудка и верхней частью тонкого кишечника.
Уменьшение размеров печени
Диагностическое значение имеет не только первичный размер печени, но и динамика процесса. Так, к примеру, при лечении застойной сердечной недостаточности печень быстро уменьшается, что прямо указывает на успешность терапии. А вот при диагностированном вирусном гепатите это может быть очень тревожным признаком. Встречаются так называемые фульминантные формы гепатитов, протекающие с массивной гибелью гепатоцитов и резким уменьшением печени. Болезнь манифестирует острой печёночной недостаточностью с переходом в печёночную кому. Процент летальности таких пациентов очень высокий.
Уменьшение печени также фиксируют в 25 % случаев терминального цирроза. Поэтому прогноз в отношении продолжительности и качества жизни при циррозе не зависит от величины пораженного органа.
Деление печени на сегменты
Сегментарное строение печени разработано для упрощения ее диагностики. Сегментом называется часть ее паренхимы, которая расположена вокруг классической печеночной триады. В состав триады входит ответвление воротной вены 2-го порядка, ветви печеночной артерии и протока печени. Печеночные сегменты хорошо визуализируются на томограммах при ее обследовании методом МРТ или КТ.
1 сегмент находится на уровне хвостатой доли. У него четкие, визуально отличаемые границы с 2, 3 и 4 участками — от 2-го и 3-го сегментов он отделяется венозной связкой, а от 4-го— воротами печени. С 8 сегментом он частично соприкасается в области нахождения нижней полой вены и с устьем правой вены печени.
2 и 3 сегменты находятся с левой стороны. 2-й виден в нижне-задней части левой доли органа. 3-й занимает верхне-заднюю часть левой доли. При эхографии этого участка можно заметить, что границы сегментов совпадают с границами левой доли.
4 сегмент является проекцией квадратной доли органа. По его сторонам находятся ориентиры, которые отделяют его от других сегментов:
- от 3-го — круглая связка и ее борозда;
- от первого он отделен воротами печени.
- четкого отделения от сегментов правой доли нет, но есть косвенные признаки: ямка желчного пузыря (ложе) и средняя печеночная вена, которая частично проходит вдоль задней части 4-го сегмента.
- между 4 и 5 — ложе желчного пузыря,
- от седьмого — средняя печеночная вена.
Между некоторыми сегментами печени находятся четкие границы, которые невозможно не заметить при обследовании органа. В остальных случаях используются косвенные ориентиры, расположение которых сложно определить на анатомическом уровне.

5, 6, 7 и 8 — это сегменты правой доли органа. Границы между ними неразличимы, их можно определить только на основании расположения основных сосудов органа. С 5-го по 8-й они расположены против часовой стрелки, по направлению от квадратной доли к хвостатой. Примерное расположение последних участков будет следующим:
- 5 сегмент находится за зоной ложа желчного пузыря и немного сбоку;
- 6 сегмент занимает область 1/3 части правой доли ниже и сбоку от 5-го;
- 7 сегмент находится еще ниже и достигает своими краями диафрагмы.
- 8 сегмент (его еще называют язычковым) занимает практически треть правой доли.
Особенность 8-го участка— это его расположение. Он переходит на диафрагмальную часть за квадратной долей, где его становится сложно отличить. Чтобы понять, сколько сегментов расположено в зоне проекции правой доли органа, необходимо знать их расположение. Они находятся без ориентиров или знаков разделения.
Методы обследования печени
Деление печени на доли, сегменты и секторы изобретено для более быстрой и эффективной диагностики ее заболеваний. На УЗИ большая ее часть скрыта за реберной дугой, поэтому стандартное ультразвуковое исследование не предполагает детального изучения печени. При подозрении на какую-либо патологию пациента обследуют методами МРТ или КТ. Они проводятся при подозрении на серьезные патологии или на наличие новообразований:
- киста выглядит как округлое образование с четкими краями;
- патологическое образование при онкологии может иметь разную форму и локализацию;
- гемангиома визуализируется после введения контрастного вещества внутривенно и обследования методом МРТ и КТ.
Каково значение сегментов в исследовании
Поскольку орган разделяется на зоны, медики получают точные результаты после проведения компьютерной томографии печени. Метод позволяет провести тщательный осмотр борозд, сосудов и определить место поражения. Кроме того, исследование помогает обнаружить различные новообразования в железе.
Тяжелой, длительной подготовки к КТ печени не требуется. Врач должен заранее сообщить пациенту обо всех рисках, а также противопоказаниях, предупреждает, что в ходе процедуры нельзя двигаться и иногда надо будет задерживать дыхание. Если КТ печени проводится с контрастированием, то пациенту необходимо сначала сдать аллергопробу и анализ на креатинин.
При проведении исследования врачам необходимо указать точную локализацию очага патологии. На экране аппарата КТ видны все сосуды, борозды органа. Благодаря точности процедуры медикам следует определить, в каком именно сегменте находится заболевание, к примеру, киста, гемангиома.
Благодаря сканированию печени по сегментам можно определить наличие следующих заболеваний:
- Печеночные кисты. При осмотре видно, что они имеют четкие границы. Плотность и их структура однородны. Небольшие кисты не всегда имеют границы. Зачастую их даже не могут дифференцировать от печени. Поэтому иногда медики измеряют плотность новообразования, чтобы доказать присутствие кисты. Они могут развиться в любом сегменте печени.
- Эхинококковые кисты. Они имеют перегородки, а их структура – многокамерная. В случае гибели паразита такую кисту сложно отличить от других образований. Чаще эти поражения затрагивают правую долю.
- Доброкачественные новообразования. Они имеют четкие затемненные границы волнистой структуры. Такое образование является небольшим по размеру. Кроме того, оно растет довольно медленно. К таким патологиям относится гемангиома печени, которая на КТ имеет плотность около +30 единиц. Обычно это новообразование проявляется под печеночной капсулой. Аденома печени на КТ также проявляется низкой плотностью.
- Раковая опухоль. Такие очаговые образования в печени на КТ выглядят, как затемнения и имеют неровные края. Они быстро разрастаются до больших размеров, затрагивая любые сегменты.


