Многие женщины воспринимают сыпь на груди как косметический дефект и не предпринимают никаких активных действий, чтобы устранить данную проблему. А ведь высыпания различного вида — это не столько вопрос эстетики, сколько сигнал о том, что в работе организма возникли какие-то нарушения.
Сыпь на грудине у женщин может появляться по различным причинам. Именно от точности установления этиологии происхождения высыпаний напрямую зависит эффективность их лечения.
Стоит отметить, что с проблемой высыпаний на грудной клетке сталкиваются как женщины, так и мужчины, но все же больше неприятностей данная проблема доставляет именно прекрасной половине человечества. Сыпь на чувствительной коже в области молочных желез зачастую вызывает болезненные ощущения, возникают различного рода раздражения. Из-за высыпаний женщина не может позволить себе надеть платье с открытым вырезом, а также облегающую одежду, которая зачастую способствует появлению неприятных зудящих ощущений.
Оглавление: Виды сыпи на грудной клетке у женщин Причины сыпи на грудине у женщин Лечение сыпи на груди у женщин Профилактика. Общие рекомендации врачей-дерматологов
Виды сыпи на грудной клетке у женщин
Сыпь на женской груди может существенно отличаться по внешним признакам. Конечно же, подход к лечению каждого отдельного вида высыпаний будет также различным.
Так, в зависимости от внешнего проявления женщина может обнаружить на своей груди сыпь следующего вида:
- Прыщи белого цвета. Как правило, белые высыпания появляются в результате нарушения обмена веществ в женском организме. Еще одним провоцирующих их возникновение фактором является чрезмерное использование косметических средств, закупоривающих поры. Забитые сальные протоки не позволяют кожному жиру свободно выходить наружу, в результате чего его скопления проявляются в виде белой сыпи.
- Прыщи алого оттенка. Данного вида высыпания свидетельствуют о наличии воспалительного процесса, разыгравшегося на фоне забитых сальных протоков. Достаточно часто красные прыщи сопровождаются зудом.
- Гнойные прыщи. Этот вид сыпи является результатом присоединения к воспалительному процессу патогенных микроорганизмов, проникновению которых чаще всего способствует такая вредная привычка, как выдавливание прыщей.
- Черные точки. В результате забивания пор и перекрывания сальных протоков отмершими клетками эпидермиса могут появляться черные точки.
- Прыщи с волоском в центре. Появление таких прыщей, как правило, обусловлено воспалением волосяных фолликул, чему виной нехватка витаминов и различные сбои в работе организма.
Очень мелкие прыщи белого цвета или красного оттенка – это, чаще всего, высыпания аллергического характера.
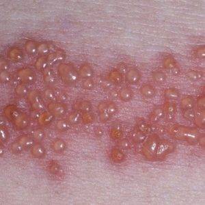
- Прыщи в виде пузырьков с прозрачной жидкостью. Такого вида высыпания бывают при вирусных заболеваниях.
- Шелушащиеся пятна бледно-розового цвета. В этом случае высыпания могут быть спровоцированы грибковой инфекцией.
- Очаговые мелкие высыпания, которые сопровождает ярко выраженный зуд. Причиной возникновения такой проблемы может быть чесоточный клещ, первые признаки которого, как правило, появляются в области груди и живота.
Следует понимать, что любые высыпания на груди требуют специального эффективного лечения, которое может назначить только врач-дерматолог. Причины появления подобных высыпаний могут быть самые разные, и определить их самостоятельно без сдачи анализов и консультации врача практически невозможно.
Причины сыпи на грудине у женщин
Поскольку кожные покровы в области груди отличаются особой нежностью и чувствительностью, они очень чутко реагируют на любые раздражители извне и изменения внутри организма.
Один-два прыща, как правило, не должны вызывать особое беспокойство, так как их появление чаще всего обусловлено закупоркой сальных желез. Очень важно в таких случаях – не выдавливать единичные прыщи, поскольку существует высокий риск занесения патогенных микроорганизмов и распространения воспалительных процессов.
Также следует понимать, что именно спровоцировало закупорку сальных желез, и устранить данную проблему. Дело в том, что сальные железы могут закупориваться отмершими клетками, потом и жиром, которые длительное время скапливаются на коже, что в свою очередь происходит, если женщина небрежно относится к собственной гигиене, а именно:
- не принимает водные процедуры после интенсивного отделения пота (после физических нагрузок, в стрессовых ситуациях, в жаркую погоду и т.п.);
- на протяжении длительного времени носит загрязненную одежду;
- использует некачественные или не подходящие ее типу кожи косметические средства.
Внимание! Частая сыпь по причине ненадлежащей гигиены может стать провокатором возникновения серьезных дерматологических заболеваний.
Не стоит связывать появление прыщей с закупоркой сальных желез, если:
- сыпь носит очаговый характер;
- от высыпаний страдают обширные участки кожи;
- возникают прыщи крупных размеров и необычной формы.
В таких случаях причины появления сыпи на груди кроятся гораздо глубже.
По мнению специалистов, самыми распространенными причинами возникновения прыщей на грудине у женщин являются:
- Индивидуальная реакция организма на такие аллергены-раздражители, как:
- бытовая химия;
- лекарства;
- некоторые пищевые продукты;
- солнечные лучи;
- шерсть домашних животных.
Аллергические высыпания, как правило, появляются в виде крапивницы или множества очень мелких прыщей в районе грудной клетки, живота, шеи, а также сыпь может появиться на руках и лице. Вылечить подобные высыпания можно, только лишь точно определив аллерген, и полностью исключив его из своей жизни.
- Гормональные сбои в результате нервного перенапряжения. Любые негативные эмоции провоцируют выделение определенных гормонов, которые в свою очередь влияют на обмен веществ и другие физиологические процессы в организме. Такая встряска женского организма нередко отражается на кожных покровах в районе груди и на спине зудящей сыпью. Устранить подобного рода высыпания возможно только полностью избавившись от нервного перенапряжения. Иногда приходится принимать седативные препараты и обращаться за помощью к психологу.
- Неправильно подобранная одежда, и, в частности, бюстгальтер. Синтетическая и неудобная одежда не позволяет коже дышать, что провоцирует чрезмерное потоотделение и скапливание пота на кожных покровах. Результат такого явления – потничка.
- Сбои в работе внутренних органов. Всем известно, что кожа – это фактически зеркало, отображающее здоровье внутренних органов. И если возникают проблемы в работе какой-либо системы, это может отражаться на коже в виде крупных прыщей, которые, как правило, отличаются болезненностью.
- болезнями почек;
- недугами печени;
- дисбактериозом и другими проблемами желудочно-кишечного тракта (ЖКТ);
- неполадками в работе гормональной системы;
- проблемами в области гинекологии.
- Несбалансированное питание. Если в рационе питания женщины присутствует избыточное количество углеводов, а полезные жиры и аминокислоты поступают в недостаточном объеме, нарушается работа сальных желез, и, как следствие, появляются высыпания.
- Дефекты дерматологического характера:
- экзема;
- дерматит;
- псориаз.
При таких серьезных кожных недугах сыпь имеет достаточно необычный вид, в период обострения могут появляться нагноения и кровоподтеки. Подобные патологические прыщи требуют особого лечения.
- Инфекционные недуги, течение которых сопровождается высыпаниями различного характера. К числу таких заболеваний относятся:
- ветряная оспа;
- корь;
- краснуха;
- скарлатина;
- пиодермия;
- пятнистая лихорадка.
Высыпания инфекционной этиологии лечатся, прежде всего, путем подавления самой инфекции.
Лечение сыпи на груди у женщин
Лечение высыпаний на груди должно начаться с посещения дерматолога, который проведет обследование, и при необходимости направит к другим специализированным врачам для установления причин появления высыпаний. Если пытаться устранять только внешнее проявление внутренних нарушений, то спустя какое-то время прыщи вновь будут появляться.
После изучения проблемы врач-дерматолог назначит какое-то действенное медикаментозное средство для наружного применения.
Неплохо зарекомендовали себя в лечении прыщей такие лекарственные средства, как:
- раствор календулы, обладающий противобактериальным и антисептическим действием;
- хлоргексидин;
- мази на основе цинковой пасты, обладающей противовоспалительным и антисептическим эффектом;
- гель «Клиндовит».
Стоит помнить, что медикаментозные средства можно применять только по рекомендации врача.
Зачастую высыпания в легкой форме эффективно и быстро убираются при помощи средств народной медицины. Однако стоит понимать, что речь не идет о прыщах, появившихся из-за патологических процессов, протекающих внутри организма.
К наиболее эффективным народным средствам от прыщей на грудине относятся:
- Сок алоэ, который способен подсушивать сыпь и вытягивать гнойную жидкость, а также обладает противомикробным действием.
- Лимонный сок.
- Эфирные масла, в частности, масло чайного дерева.
- Настои и отвары из целебных трав (ромашка, календула, чистотел).
Профилактика. Общие рекомендации врачей-дерматологов
Чтобы ваша кожа в районе груди сияла чистотой и здоровьем, следует придерживаться некоторых общих рекомендаций, позволяющих укрепить и оздоровить организм каждой женщины.
Так, специалисты утверждают, что проблема прыщей на груди будет обходить вас стороной, если:
- наладить режим сна и исключить недосыпы, зачастую провоцирующие гормональные сбои;
- сбалансировать питание и исключить из рациона вредные продукты;
- использовать только качественные и подходящие по типу кожи косметические средства;
- регулярно выполнять гигиенические процедуры;
- наладить питьевой режим;
- выбирать одежду из натуральных дышащих материалов;
- не наносить туалетную воду или дезодоранты на область грудины;
- отказаться от привычки самостоятельно выдавливать прыщи.
Правильный уход за кожными покровами, здоровое питание и полноценный отдых помогут вам избежать такой неприятной проблемы, как сыпь на груди. Придерживаясь вышеизложенных рекомендаций, вы существенно снизите риск появления прыщей.
Брагина Лилия, врач, медицинский обозреватель
- частые переживания, подверженность стрессам, депрессивные состояния. Чрезмерные эмоциональные нагрузки, причем как положительные, так и отрицательные, могут привести к возникновению угревой сыпи не только на коже груди, но и на других органах;
- проникновение инфекции в организм. Инфекционный характер имеют такие заболевания, как ветрянка, краснуха, фарингит, свинка, скарлатина и прочие патологии;
- подверженность пациента другим дерматологическим недугам, в частности, псориазу и экземе. Благоприятной почвой для проявления кожных заболеваний, в числе которых и угревая сыпь, считается дисфункция иммунной системы;
- злоупотребление косметическими и моющими средствами. Особенно это касается пациентов, предрасположенных к аллергическим реакциям;
- аллергия на определенный медпрепарат;
- укус животного или насекомого;
- механическое воздействие. Так, спровоцировать возникновение угря может бижутерия;
- заболевания ЖКТ;
- гормональные сбои (предменструальный период, беременность, период полового созревания у подростков);
- плохая экология;
- чрезмерное потоотделение.
Угревая сыпь на груди не представляет опасности в том случае, если количество прыщей незначительное (3-4 элемента) и болезненных ощущений они не вызывают. Такая сыпь, как правило, проходит самостоятельно.
Виды угревой сыпи на груди
Видовая классификация угрей на груди по степени тяжести:
- закрытые белые узелки, появление которых не сопровождается развитием воспаления;
- комедоны красного цвета. Появление красно-розовых элементов говорит о присоединении бактериальной инфекции;
- гнойные прыщи. В случае появления гнойного прыща ни в коем случае не следует его выдавливать, дайте гнойничку созреть и раскрыться самостоятельно. Все продукты распада, как правило, выходят вместе с гноем;
- аллергические прыщи. Избавиться от угрей аллергического характера можно, исключив из рациона пищевой раздражитель;
- простудные угри.
Локализация угрей, их особенности
Как правило, местами локализации угревой сыпи является:
- кожа под грудной клеткой. Обычно элементы сыпи возникают под грудью по причине недостаточной гигиены;
- кожные покровы между молочными железами. Причина кроется в неудобном белье, препятствующем испарению влаги. Чтобы предотвратить появление узелков в данной зоне, необходимо носить белье, позволяющее коже дышать.
Как излечить на груди угри традиционными методами?
Прежде чем начать лечение угревой сыпи на коже груди, необходимо посетить дерматолога. Врач поставит правильный диагноз, дифференцирует заболевание от других дерматологических патологий с аналогичными симптомами и назначит эффективные наружные средства местного действия, а при необходимости системные антибактериальные медпрепараты.
Дополнительная информация! Чтобы предотвратить распространение высыпаний на другие участки кожи, не нужно выдавливать элементы сыпи. Это поможет не только прекратить развитие патологии, но и избежать осложнений.
Лечение угрей на грудине у женщин в домашних условиях
Народные средства, популярные среди пациентов
- дегтярное мыло;
- скраб на основе соды. Не рекомендуется использовать для лечения гнойничков и фурункулов;
- смесь на основе лимонного сока. Для приготовления средства понадобится лимонный сок (3 ст. л.), масло чайного дерева (8 капель) и вода (3 ст. л.). Все компоненты нужно смешать, смесь наносить на угорь 2 раза в сутки.
Рекомендации диетологов
При выявлении первых признаков угревой сыпи в зоне груди дерматологи рекомендуют следовать таким правилам:
- проведите корректировку дневного распорядка. Выделите больше времени на сон и отдых. Переутомление организма приводит к снижению иммунитета и как следствие к нарушению его защитных функций. Ослабленный организм более подвержен дерматологическим патологиям, в числе которых угревая сыпь на груди;
- следуйте правилам здорового питания. Исключите из рациона жирные и жареные блюда, ограничьте употребление сладостей. Благоприятное воздействие на организм оказывают продукты, насыщенные витаминами, такие как овощи, фрукты, мясо нежирных сортов, кисломолочная продукция;
- займитесь спортом, проводите процедуры закаливания. Спорт способствует нормализации обменного процесса, что важно для активизации работы иммунной системы;
- смените белье. Белье должно быть изготовлено из природных материалов, к примеру, из хлопка. Синтетика и другие виды искусственных тканей негативно влияют на состояние кожных покровов;
- следуйте правилам гигиены. Во время принятия душа желательно пользоваться антибактериальным мылом. В ванну дерматологи рекомендуют добавлять морскую соль;
- не оставляйте без внимания простудные заболевания, лечите недуг до полного выздоровления;
- в случае развития осложнений, причиняющих значительный дискомфорт, необходимо обратиться к врачу за консультацией. Запущенные формы заболевания могут спровоцировать развитие серьезных дерматологических патологий, в частности, фолликулярный дерматит.
Следование вышеперечисленным правилам и рекомендациям дерматологов позволит вам не только избавиться от появления прыщей на груди, но и предотвратить их образование в будущем.
Прыщи на груди: причины возникновения
Выяснить их нужно обязательно, поскольку устранение провокаторов явления – первый шаг к тому, чтобы его устранить.
Даже если с помощью различных способов от него удастся избавиться, не факт, что результат не будет временным, а сама неприятность вскорости не вернется вновь.
Почему появляются прыщи на груди у женщин? Тому есть внешние и внутренние причины. В ряде случаев провокатор определяется не один, и они могут быть «тандемом» внутренних и внешних «виновников».
Внешние причины
Чаще всего они такие:
- Одна из наиболее распространенных причин – недостаточное соблюдение личной гигиены либо неправильный подход к этому вопросу. Из-за этого закупориваются сальные протоки, что и вызывает воспалительный процесс в кожных слоях. Чаще всего по этой причине появляются множественные прыщи на груди у женщин, как правило, в виде некрупной сыпи;
- Неправильное питание. В погоне за стройностью тела многие представительницы прекрасного пола придерживаются строгих диет, лишающих организм многих полезных веществ. Бытует мнение, что жиры – главный враг тонкой талии и здоровья вообще, но это утверждение справедливо не для всех из них. Например, в нежирных сортах мяса и рыбы содержатся полезные жиры, аминокислоты, которые и способствуют нормальному функционированию организма, протеканию обменных процессов, а также состоянию кожи. Вместе с тем как переизбыток в рационе жирной пищи, так и еды, содержащей большое количество углеводов, и особенно простых, тоже не полезен ни для состояния кожи, ни для состояния организма в целом. Известно, что и большое количество сладостей на пользу тела не идет, и такая гипотеза имеет право на существование. А вот фрукты, овощи, зелень – дар природы, способный обогатить организм полезными компонентами;
- Плохая экология. Вредные частицы из окружающей среды негативно влияют на кожу, забивая поры токсинами, прочими вредными веществами, вследствие чего и развивается воспалительный процесс в них;
- Ношение слишком обтягивающей одежды. Она мешает телу «дышать», насыщаясь кислородом. Такие вещи, кроме того, ухудшают кровоток, и все это в комплексе способствует тому, что кожа не имеет возможности вовремя очищаться от грязи, сальных пробок, в силу чего и развивается воспалительный процесс;
- Наличие пагубных привычек (курение, употребление спиртного и т. д.). От них страдает не только цвет кожи, но и ее состояние, и результатом тому нередко выступают прыщи на груди.
Все эти причины появления проблемы далеко не безобидны для состояния здоровья вообще, поэтому, если есть подозрение на то, что провокаторами выступают именно они или некоторые из них, постарайтесь устранить их.
Внутренние причины
Самые распространенные среди них:
- Явление может быть следствием аллергической реакции на какие-либо медикаменты, продукты, напитки;
- Возникнуть аллергия может и в ответ на использование тех или иных средств по уходу за телом, ношение бижутерии,синтетической одежды, использование парфюмерии. Укусы насекомых, соприкосновение с растениями, содержащими яд, взаимодействие с предметами бытовой химии – все это тоже может спровоцировать явление. Если грудь высыпало прыщами по каким-либо из этих причин, речь идет о контактном дерматите;
- Появление проблемы может быть обусловлено и стрессами, беспокойством, тревогами, прочими негативными психологическими состояниями, эмоциями. Нередко в таких ситуациях сыпь представляет собой некрупные образования, которые распространяются не только на груди, но и на спине, в частности, в области позвоночника;
- Если грудь покрылась прыщами, следует обратить внимание на гормональный фон. Часто его изменение сопровождается этим явлением, и «атаковать» оно может не только грудь, но и лицо, руки, область шеи, плеч. Этим и обусловлено то, что часто с явлением сталкиваются девочки-подростки, у которых в этом возрасте наблюдается активное половое созревание. Гормональными изменениями объясняется и то, что у многих женщин прыщи на груди появляются перед месячными;
- Прыщи на груди при беременности – тоже проблема распространенная, и вызвана она также изменением гормонального статуса женщины. Она отступит самостоятельно, когда родится малыш. К слову, прыщи на лице при беременности не менее распространенное явление;
- Заболевания пищеварительной системы. Воспалительный процесс в этом случае обусловлен тем, что ЖКТ не справляется с выведением из организма шлаков, токсических веществ, прочих «вредностей». Свой выход они пытаются найти через кожные поры, забивая их. При наличии таких проблем со здоровьем могут появляться как мелкие прыщи на груди у женщин, так и крупные. Не исключено наличие гнойного содержимого в них из-за присоединения инфекции. Обычно они распространяются еще и на спину;
- Если появились гнойные прыщи на груди, можно заподозрить снижение иммунитета. Виновником в этом случае может быть и сахарный диабет;
- На груди появились прыщи? Все ли в порядке с мочевыделительной системой? Иногда провокатором явления выступают заболевания этих органов;
- Наличие инфекционных заболеваний в организме тоже может стать причиной проблемы. В этом случае могут наблюдаться белые прыщи на груди, наподобие белых прыщей на лице, имеющие гнойное содержимое, причем оно присутствует независимо от того, в острой либо хронической форме протекает болезнь.
Появляющиеся изредка и быстро отступающие образования не должны вызывать серьезных волнений, но если проблема появляется постоянно, наблюдаются обильные высыпания, это повод обратиться к врачу, что касается и прыщей на лице.
Прыщи на груди у женщин: что делать?
Тактика борьбы с неприятностью во многом зависит от причин ее появления. Ввиду того, что нередко они лежат в состоянии здоровья, не будет лишним прохождение медицинского обследования.
Если появляются прыщи на груди у женщин, лечение должно быть основано на комплексном подходе.
Первые шаги
Наряду с началом лечения народными или традиционными методами, нужно предпринять некоторые меры, не имеющие отношения к лекарствам:
- Обратите внимание на гигиену. Речь может идти не о том, что вы редко принимаете душ или ванну, а о применении не подходящих для вашей кожи средств гигиены. Они должны соответствовать типу вашего кожного покрова. Во время лечения прыщей на груди нелишним будет регулярно производить ополаскивание слабо концентрированным отваром или настоем из ромашки (можно заменить ромашку шалфеем);
- Проанализируйте свой рацион. Не нужно спешить отказываться от некоторых продуктов, но помните, что меню должно обеспечивать организм белками, жирами, углеводами в правильных пропорциях. Постарайтесь отдавать предпочтение диетическим сортам мяса, морепродуктам, нежирной рыбе. Овощи, фрукты, зелень – эти продукты должны всегда присутствовать на вашем столе. Не забывайте о том, что жареная еда вредна для здоровья и состояния кожи, а вот отварные, тушеные, печеные продукты являются полезными;
- Хотя бы на время лечения прыщей на груди постарайтесь носить только одежду, изготовленную из натуральных материалов. Не следует носить обтягивающие вещи, в частности, нижнее белье – позвольте коже «дышать»;
- Если есть вредные привычки, приложите максимум усилий, чтобы их искоренить.
Что касается внутренних причин тому, что появились прыщи на женской груди, их устранить должен помочь врач, предварительно проведя обследование организма, и установив их.
Как избавиться от прыщей на груди народными средствами?
Народная медицина владеет немалым количеством рецептов, которые помогают решить данную проблему.
Воспользоваться можно овсяным скрабом, что делается таким образом.
- Соединяем овсяные хлопья в количестве 6 ст. л. и соду в количестве 1 ст. л.
- Заливаем полученную смесь теплой водой, размешиваем состав до принятия им кашеобразного состояния.
- Аккуратными массирующими движениями наносим скраб на кожу груди.
- Далее состав нужно смыть посредством воды.
Это средство от прыщей на груди у женщин выполняет очищающую и дезинфицирующую функции. Благодаря этому кожа очищается, дышит, и это приводит к устранению проблемы. Использовать можно и один из рецептов овсяного скраба для лица.
Гнойнички, белые высыпания быстрее устраняются, если оказать на них подсушивающее воздействие. Можно использовать для этого такое средство.
- В 1 л воды растворяем 1 ст. л. морской соли.
- Полученный раствор следует разбрызгивать на кожу груди, но не растирать по покрову.
- Затем его нужно аккуратно смыть обычной водой, когда раствор высохнет.
Издавна доверием пользуется дегтярное мыло, и не напрасно – оно позволяет продезинфицировать кожу, хорошо очистить ее от ороговевших частиц, пробок, подсушить прыщи на груди. Использовать его следует 2-3 раза/неделю, но не дольше 2-3 недель, потому как есть риск пересушить кожный покров, что тоже для него неполезно.
Травяные настои – весьма эффективный народный способ избавления от проблемы.
- Завариваем стаканом кипятка 1 ч. л. ромашки.
- Даем смеси отстояться, пока она не примет комнатную температуру.
- Сцеживаем состав, дважды/день обрабатываем им кожу груди.
Вместо ромашки можно применять алоэ, календулу, шалфей. Использовать домашние лекарства на травах можно дважды-трижды/неделю сколько угодно долго.
Говоря о том, как избавиться от прыщей на груди, не стоит забывать, что осуществлять лечение можно и такими препаратами традиционной медицины, как мази, гели. Самыми популярными из них являются серная, ихтиоловая мазь, а также мазь Вишневского, салициловая кислота.
Несмотря на то что многие традиционные средства давно зарекомендовали себя как надежные и безопасные, их назначение лучше доверить врачу.
Профилактика прыщей на груди у женщин
Существенно снизить риск «атаки» данной проблемой можно, следуя таким советам:
- Старайтесь носить нижнее белье из натуральных тканей. Желательно, чтобы и одежда в целом была выполнена из них же. Предметы гардероба не должны быть тесными;
- Обеспечьте себе полноценное питание, которое должно быть сбалансированным;
- Тщательно очистить кожу обычные гигиенические средства не всегда помогают, поэтому хотя бы единожды/2 недели используйте скрабы для тела с мягким воздействием. Можно использовать для этого и народные рецепты;
- Занятия спортом способствуют улучшению кровотока, насыщению кожи и организма кислородом, что является хорошей защитой кожного покрова от воспалительных процессов;
- Старайтесь не пристращаться к вредным привычкам.
Здоровый образ жизни – залог здоровья тела и, в частности, кожи. Не пренебрегайте этим «золотым» правилом, и прыщи на груди, которые способны огорчить любую женщину, с большой долей вероятности не побеспокоят вас.
Акне на груди – причины появление
Многие задаются вопросом, почему появляются прыщи? Причин этому может быть несколько:
- Одежда. Если постоянно носить плотно прилегающую одежду, то кожа будет лишена возможности дышать, и поры будут быстро забиваться. Откажитесь от ношения свитеров и толстых халатов дома. Так же не стоит носить синтетические вещи, так как синтетика может вызвать появление прыщей на грудине. Носите натуральные ткани.
- Гормоны – главная причина высыпаний на коже груди. Даже если у вас появился только один, стоит обратиться к врачу. Специалисты утверждают, что 30% всех случаев появления акне, связано именно с гормональными сбоями.
- Уход. Появление прыщей на груди может быть следствием неправильного ухода за кожей.
- Неправильное питание – одна из причин появления высыпаний. Употребление жирной, острой, нездоровой пищи может спровоцировать появление высыпаний, и не только на груди.
- Аллергия – может стать фактором появления прыщей.
- Стресс. Часто нервные расстройства и стрессовые ситуации вызывают появление акне.
- Заболевание ЖКТ – может стать причиной появление прыщей на груди и спине.
- Повышение содержание сахара в крови, или сахарный диабет могут быть причиной высыпаний, что говорит о низком иммунитете.
- Болезни мочевыделительной системы, тоже являются причиной появления акне на грудине.
Если вы правильно питаетесь, надлежащим образом ухаживаете за кожей, не носите синтетической одежды, а высыпания появляются с завидным постоянством, то стоит обратиться к дерматологу и как можно быстрее.
Есть еще одна причина – месячные
У многих женщин в критические дни появляется недомогания, моральный дискомфорт и ненавистные высыпания на лице и теле. Обычно высыпания мелкие, красные, с признаками воспаления. Появляются они неожиданно.
Этому виной гормональный сбой, который вызван месячными, в этот период гормоны начинают работать намного активнее, и вызывают усиленную работу сальных желез.
Справится с прыщами на груди в данной ситуации – прием гормональных препаратов, например контрацептивов.
Прыщи на груди – лечение
Мы рассмотрели причины появления акне. Разберем основные способы лечения данной проблемы. Не каждый препарат подойдет для лечения прыщей на груди, так как кожа в этом месте очень чувствительная и нежная. Но избавится от прыщей намного легче, чем определить причину этой проблемы, а это значит, что появление прыщей повторно, не за горами. Так что перед тем как приступать к лечению, определите причину.
Стоит отметить, что те средства, которыми можно вылечить прыщи на лице, для зоны декольте не подойдут, так как в их составе есть антибиотики. Для нежной кожи на груди они могут оказать губительное воздействие. Как быть?
Нужно использовать натуральные медикаменты и народные рецепты, проверенные временем.
Перед началом лечения, проводят гигиену области пораженной высыпаниями. Для этого применяют дезинфицирующие средства. Носить только чистую одежду из натуральных тканей.
Если кожа сильно поражена, врачи могут назначить лекарственные препараты. Но применять их нужно с осторожностью, так как они сильно сушат кожу. Например, цинковую, или серную мази, применять с осторожностью. Наносить нужно точечно, на каждый прыщик.
С осторожностью нужно применять скрабы, в состав которых входят грубые частицы, лучше воспользоваться мягким скрабом-скаткой.
Народные средства при лечении прыщей на грудине
- Вместо скраба можно использовать соду и овсяные хлопья в пропорции 1:6. Смесь нужно разбавить горячей водой, до состояния кашицы, остудить и в теплом состоянии нанести на грудь. Круговыми, массажными движениями обработайте кожу и смойте теплой водой. Овсяные хлопья смягчают кожу и раскрывают поры, а сода дезинфицирует.
- Раствор соли не сильно концентрированный хорошо подсушивает и убивает бактерии. Раствор наливается в распылитель и разбрызгивается на пораженную кожу. После высыхания промыть водой.
- Вода с лимонным соком 1:1 и масло чайного дерева несколько капель, тоже служит антибактериальным средством.
- Дегтярное мыло – хорошее средство в борьбе с акне, но применять его длительное время не рекомендуется, можно пересушить кожу.
- Отвары календулы и ромашки помогают в борьбе с прыщами на груди. Они создают защищающую пленку и убивают бактерии.
Касторовое масло в борьбе с прыщами на груди
Преимущества натуральных масел в лечении акне давно доказано. Какому маслу отдать предпочтение? На протяжении длительного времени экстракт клещевины на масляной основе использовали для лечения и профилактики прыщей на грудине у женщин.
Касторовое масло еще одно средство от прыщей, оно вытягивает из пор жир, бактерии, и любые загрязнения. Перед тем как применить касторовое масло, возьмите полотенце, смоченное в теплой воде и сделать компресс на грудь. Масло в проблемные зоны втирать круговыми движениями. После процедуры протереть кожу салфеткой и сполоснуть холодной водой, для сужения пор.
Но не стоит ждать моментального результата, так как он проявляется через 10 дней стабильного применения.
Алоэ от прыщей на груди
Многие хозяйки выращивают алоэ в домашних условиях, и это неудивительно, так как это очень полезное, целебное растение. Главным его свойством в лечении, подсушивание кожи и антибактериальный эффект, при этом места воспалений обеззараживаются. Итак, несколько рецептов для излечения прыщей на груди:
- Отломите один листочек от растения, хорошо его промойте, немного подсушите. Разрежьте лист пополам и его соком смажьте проблемные участки. Использовать нужно неоднократно и о прыщах можно забыть.
- Эфирные масла с соком алоэ. Есть несколько масел, которые подходят для лечения акне: розмариновое, камфорное, пихтовое, эвкалиптовое, чайного дерева. Смесью 1 ст. л сока алоэ и 2 каплями масла протирают зону декольте.
- Отвар. 4 ст. л измельченного листа алоэ залить стаканом горячей воды и кипятить 15 минут. Процедить отвар и применять два раза в день для протирания зоны декольте.
- Маска. Один яичный белок, чайная ложечка лимонового сока, 2 ст. л размельченных листьев алоэ. Эту маску наносят на 10 минут. Применять 1 раз в неделю.
Несколько секретов в народной медицине, при лечении акне
Для избавления от прыщей на грудине нужно:
- Взять настой цветков зверобоя и протирать кожу декольте. Они обладают антиоксидантными и противовоспалительными свойствами.
- Взять в равных пропорциях листья подорожника измельченные, тертую морковь, соцветия календулы, эта кашица применяется локально.
- Смесь из 4 капель розмаринового масла, 1 ст. л творога, 2 ст.л сока цитруса, и 1 ст. л зеленой глины, наносить как маску на участок декольте на 20 минут.
Лечение гнойных прыщей на грудине
Гнойные прыщи намного опаснее, так как существует опасность, что прыщ лопнет и в открытую ранку попадет грязь, или бактерии. Есть эффективный метод, который помоет справиться с этой проблемой.
Используйте лук, и чеснок. Натрите на терке что-то одно, заверните в бинт и приложите к проблемной зоне на 8 часов. Лучше сделать это на ночь. Есть один минус – резкий запах от пастели и одежды, но средство очень действенное.
Эти рекомендации помогут в лечении акне на груди. Но профилактика намного лучше, чем лечение. Если у вас проблемная кожа, то лучше не ждать обострения.
Профилактика прыщей на груди
Гигиену нужно соблюдать в независимости от того, есть у вас прыщи или нет. Специалисты рекомендуют:
- Душ принимать каждый день с применением антибактериальных средств;
- Летом надевать одежду из естественных тканей;
- Готовьте скрабы из натуральных компонентов. Они очистят кожу зоны декольте от ороговевших клеток, и тем самым раскроют поры;
- Правильно питаться и жить активно, это поможет укрепить иммунитет, и организм будет устойчивым к болезням;
- Принимать витаминные комплексы;
- При появлении акне, не стоит их давить, так как инфекция может распространиться на чистую кожу груди.
Прыщ на груди можно выдавить, но только после того, как он полностью созрел, но не пренебрегайте дезинфекцией, применять ее нужно как до процедуры, так и после.
Не применяйте средства с содержанием спирта и салициловой кислоты, при лечении прыщей на груди. Кожа может покраснеть и начать шелушиться, так как эти препараты ее пересушат.
Согревающие мази тоже противопоказаны. При их применении к коже на груди будет осуществляться прилив крови, а это вредно для сердца. Строго запрещается использовать бодягу.
Летом нужно обязательно пользоваться солнцезащитными кремами. Это поможет вашей коже не получить солнечный ожог.
В заключении
Конечно, появление прыщей на груди у женщин не несет с собой серьезных осложнений, если вовремя начать лечение. Но, некоторые высыпания могут говорить о серьезных заболеваниях, например раковых поражениях кожи. Перед тем как начать самостоятельно лечить акне, народными средствами, сходите на консультацию к дерматологу.
Только после того, как вы убедитесь, сто серьезной угрозы вашему здоровью нет, можно приступать к самолечению, и пробовать различные народные методы.
Причины
Если высыпали прыщи на грудной клетке, то определить с точностью, от чего они появляются, способен только врач.
Угри в этой области зачастую связаны с различными заболеваниями.
Они могут быть симптомом патологий внутренних органов или инфекций.
Стрессы
У всех когда-либо случаются трудные периоды в жизни, сопровождающиеся сильными переживаниями.
Постоянная тревога, моральное напряжение вполне могут спровоцировать сыпь на теле или лице. Дело в том что во время стресса выделяется адреналин, который повышает уровень тестостерона и работу сальных желез.
Аллергия
Когда мелкие красные прыщики чешутся, не стоит исключать аллергическую реакцию.
- На грудной клетке она наступает от синтетического нательного белья. Виновником может оказаться новый стиральный порошок или ополаскиватель для одежды. Следует проанализировать, не использовались ли непривычные средства для ухода в последние несколько дней.
- Реакция возникает также на пищу (шоколад, морепродукты, цитрусовые, мед) или медикаменты (чаще на антибиотики).
Инфекции
Насторожить должна ситуация, когда кроме высыпаний на груди появляются другие симптомы.
Например, повышается температура, возникает боль в горле или в голове, насморк, ухудшается общее состояние организма.
Все это признаки инфекционных заболеваний:
- кори, вызванной вирусом. Заражение происходит воздушно-капельным путем. Вместе с симптоматикой ОРЗ наблюдается слезотечение и конъюнктивит. Через 2–3 дня на лице и за ушами образуются красные пятна. Они сливаются друг с другом, постепенно опускаясь на грудь, все тело и конечности;
- ветрянки, возбудителем которой также является вирус. Грудная клетка, шея, лицо, ноги и руки покрываются мелкими зудящими пузырьками с мутноватой жидкостью. Затем поверхность их сморщивается, превращаясь в ранку, которая покрывается корочкой. Болезнь сопровождается сильным зудом;
- пиодермии – бактериальной инфекции. Если обсыпало гнойными прыщами, то виновники этого стафилококки и стрептококки. Иногда сюда относят фолликулит, карбункулы, гидраденит, но несмотря на одинаковые причины, это совершенно разные патологии.
Контактный дерматит
Это реакция на контакт с внешним раздражителем, из-за чего грудь покрывается пузырьками или узелками.
Наблюдается покраснение, отечность покровов, шелушение, боль или жжение.
- Причиной может стать укус насекомого, прикосновение ядовитого растения.
- Если сыпь появилась на шее, возможно, все дело в ювелирном украшении – цепочке или кулоне.
Экзема, псориаз
- Псориаз — не заразное хроническое аутоиммунное заболевание. Для него характерно появление сухих папул, которые после слияния превращаются в бляшки. Чаще первые симптомы проявляются в возрасте до 20 лет.
- При экземе симметрично расположенная по телу сыпь сопровождается сильным зудом, иногда жжением. В зависимости от разновидности болезни возникают папулы, бляшки, пузырьки или язвочки. Существует микотическая, микробная, себорейная, дисгидротическая экзема.
Нарушение работы ЖКТ
Работа органов пищеварения нарушается от неправильного питания.
- Жирная, соленая сладкая пища вызывает подкожные высыпания на грудной клетке. Вредные продукты плохо переваривается, гниют в полости кишечника, выделяя в кровь токсины.
- Отравляющие вещества разносятся по всему организмы, а кожа как орган выделения, пытается от них избавиться. От чрезмерной нагрузки формируются сальные пробки и прыщи.
- Но стоит посетить гастроэнтеролога, чтобы исключить наличие гастрита, язвы, камней в желчном пузыре, опухолей, гепатита или цирроза печени.
Гормональный дисбаланс
Наиболее распространенная причина акне – колебания уровня андрогенов в крови.
- Увеличение их количества стимулирует усиленную работу сальных желез.
- А избыток кожного жира закупоривает выводные протоки. Появляются комедоны, угри, воспаленные папулы.
Неправильный уход за кожей
Элементарная нечистоплотность приводит к забиванию частичками пота и грязи пор.
- Прыщи на спине и груди у женщин или мужчин появляются, если они редко принимают душ.
- Обсыпает от неправильно подобранных по типу кожи лосьонов, кремов для тела.
- Причиной может стать некачественная косметика сомнительного производства.
- Излишняя гигиена уничтожает защитную жировую пленку эпидермиса. В результате чего сальные железы начинают усиленно вырабатывать еще больше секрета.
Симптомы опасных заболеваний
Важно запомнить, если вместе с сыпью затрудняется дыхание, отекает лицо или горло, возникает головокружение, потеря сознания, синюшность покровов, то следует немедленно вызывать скорую помощь.
Такое состояние является угрозой для жизни. Оно наблюдается при анафилактическом шоке, раке.
Видео: «Как лечить угревую сыпь на различных участках тела»
Разновидности угревой сыпи
- Мелкие белого цвета прыщики – это сальные пробки в протоках желез. Так называемые закрытые комедоны воспаляются редко. Усугубляют ситуацию пот, неотшелушенные частички эпидермиса.
- Красные прыщи свидетельствуют о присоединении инфекции.
- Гнойные высыпания трансформируются из красных. При созревании на поверхности их образуется белая или желтая головка. Это бактерии, лейкоциты и лимфоциты, грязь, чешуйки эпителия, которые выходят в виде гноя.
- Если присутствует темный стержень и черная точка в центре большой опухоли, то это фурункулез – воспаление волосяных луковиц.
Когда твердый огромный прыщ чешется, вызывает чувство натяжения кожи, не проходит, то нужно идти к доктору.
Подобные элементы подлежат вскрытию хирургическим путем.
Простудные прыщи на груди появляются редко. За них чаще принимают герпесную инфекцию или обычную аллергию.
Места локализации
Область расположения высыпаний может рассказать о многом:
- в подмышечной зоне проявляется реакция на антиперспирант, в котором много отдушек, спирт и соли алюминия;
- сыпь под или между грудью – признак недостаточной гигиены и повышенного потоотделения. Слишком тесная плотная одежда в жару препятствует испарению влаги, а живущие на теле бактерии приводят к воспалению;
- прыщики возле соска вызваны гормональными сбоями. Если элемент расположен близко к протоку молочной железы, то это может указывать на серьезное заболевание. Особенно, когда из соска выделяется жидкость, присутствует зуд или болезненность;
- сыпь на плечах говорит об авитаминозе, неправильном питании, злоупотреблении алкоголем или курением.
Диагностика
С целью выяснения причин высыпания лучше вначале обратиться к дерматологу.
- Он изучит анамнез, оценит состояние кожи, расскажет, как убрать прыщи.
- В случае необходимости посоветует, к какому профильному специалисту обратиться.
- Возможно, потребуется помощь аллерголога, гастроэнтеролога, эндокринолога или гинеколога.
- Не исключено, что придется сдать анализы мочи и крови, сделать УЗИ.
Лечение
Если причины сыпи заключаются в наличии заболеваний, то назначаются системные медикаменты:
- антибиотики;
- гормональные средства;
- противовирусные и иммуномодулирующие препараты;
- антигистаминные;
- витамины;
- ретиноиды.
К наружным аптечным лекарствам относятся:
- цинковая мазь;
- бензоил пероксид;
- ихтиоловая мазь;
- синтомицин.
Рецепты
В домашних условиях можно применять лечебные маски, тоники и лосьоны.
Но перед нанесением покровы нужно подготовить посредством скраба.
- Смешать пищевую соду с водой до консистенции густой кашицы.
- Массажными движениями втирать смесь в течение 5 минут, затем смыть.
Такую процедуру рекомендуется повторять не чаще 2 раз в неделю.
Масок
- На грудь можно нанести мякоть дыни или тыквы и выдержать четверть часа.
- Полезны маски из белой или зеленой глины. Порошок разводят водой, добавляют несколько капель масла чайного дерева. Смесь наносят на кожу и смывают после полного высыхания.
- Потрясающий эффект остается от маски из натурального березового дегтя.
- Взять 2 ст. лож. сока апельсина, по 1 ст. лож. глины и творога, 4 капли розмаринового масла. Средство обладает эффектом пилинга. Одновременно питает.
Тоников
- По 4 ст. лож. сока лимона и воды смешать с 4 каплями масла чайного дерева. Наносить раствор лучше с помощью распылителя на кожу груди. После высыхания тоник смывается теплой водой.
- Хорошо справляется с микробами не сильно концентрированный раствор морской соли или марганцовки (несколько кристалликов на 0,5 л воды). Применяют средство аналогично первому рецепту.
Меры первой помощи
- Быстро справиться с угрями получится посредством протираний лосьоном с салициловой кислотой.
- Хорошо зарекомендовал себя очищающий гель Clinique Anti-Blemish Solutions. Он содержит экстракт водорослей, кораллов, избавляющих от зуда.
После необходимо воспользоваться увлажняющим кремом.
Профилактика
Профилактика заключается в поддержании здорового образа жизни.
- Регулярные занятия спортом улучшают кровообращение, повышают сопротивляемость организма к инфекциям.
- Отсутствие стресса и умение контролировать эмоции способствует быстрому очищению покровов.
- Соблюдение режима дня, полноценный сон стабилизирует гормональный баланс.
- Важно не запускать хронические заболевания, вовремя обращаться за медицинской помощью, не заниматься самолечением.
Нельзя выдавливать прыщи, так как это провоцирует распространение инфекции на здоровые участки кожи.
Аккуратно извлечь содержимое можно из созревшего бугорка. Если белая головка торчит наружу, то она легко выходит. Главное, не забыть обработать руки и грудь антисептиком до манипуляции, а ранку после выдавливания.
Питание
Чтобы не усугубить плохое состояние кожи на груди, важно придерживаться диеты:
- исключить жареное, жирное, фастфуд, растворимый кофе, шоколад, белый хлеб, кондитерские изделия, сладкую газировку, алкоголь;
- кушать фрукты и овощи, крупы, бобовые, орехи, льняное масло, отруби, кисломолочные продукты;
- пить свежевыжатые соки, компоты из сухофруктов, зеленый и травяной чай, очищенную или минеральную воду (до 2 литров в сутки);
- мясо обеспечивает организм белком, поэтому не стоит полностью от него отказываться. Предпочтение лучше отдавать куриной грудке, нежирной телятине, индейке, крольчатине.
Сбалансированное питание – это поступление в организм необходимого количества веществ (углеводов, жиров и белков). А также достаточное потребление витаминов и минералов.
Готовить пищу лучше на пару, в мультиварке или в духовке.
Уход за кожей
- Принимать душ или ванну нужно минимум раз в день – перед сном.
- Летом в жару, после занятий спортом необходимо увеличить количество водных процедур.
- Обязательно следует завести индивидуальную мочалку, мыло и полотенце.
- С собой можно носить влажные салфетки, чтобы периодически очищать кожу от пыли и пота.
Одежда
Одежду предпочтительнее выбирать из натуральных тканей – льна, хлопка, шерсти, шелка, вискозы.
Гипоаллергенным считается флис – высокотехнологичный материал. Это правило относится и к постельному белью.
- Если аллергия возникает на стиральный порошок, то лучше пользоваться детским средством.
- После стирки вещи нужно гладить, особенно если они сушились на улице.
- Женщинам недопустимо носить в теплое время года бюстгальтеры с поролоном.
Косметические средства
В период терапии угревой болезни от косметики лучше совсем отказаться.
- Если без макияжа не обойтись, то его обязательно нужно тщательно удалять.
- Выбирать средства для ухода следует с минимальным содержанием парфюмированных отдушек.
Вопросы и ответы
Многих интересует, являются ли нормой прыщи на груди у подростков.
- Обычно угревая сыпь расположена на лице.
- Но в тяжелых случаях может выскакивать и на теле, в том числе поражать грудную клетку.
Усугубляется проблема отсутствием тщательной гигиены.
Страдают от угрей 85% детей в возрасте полового созревания.
Обычно после 20 лет признаки воспаления исчезают как у юношей, так и у девушек.
Как избавиться с помощью народных средств
- Самое популярное народное средство – дегтярное мыло. Оно является природным антисептиком, хорошо подсушивает высыпания. Однако не подходит для длительного применения из-за того, что сильно сушит кожу и вызывает шелушение.
- Раз в день можно принимать теплую ванну с отваром череды или чистотела. Потребуется 0,5 стакана сухой травы и 1 литр кипятка. Средство нужно настоять и процедить, затем вылить в наполненную ванну.
- В зону декольте полезно втирать касторовое масло. Предварительно кожу желательно распарить.
Почему появляются у мужчин
Прыщи на груди у мужчин чаще связаны с внутренними нарушениями.
Например, к гормональным сбоям приводит прием стероидов, неполадки в работе надпочечников, поджелудочной или щитовидной железы.
У женщин
Прыщи на грудной клетке у женщин также вызывают гормональные причины.
- Например, в середине менструального цикла, в период беременности резко повышается уровень прогестерона в крови. Состояние сопровождается не только угревыми высыпаниями, но и избыточным выделением пота, сменой настроения, нарушениями функционирования кишечника.
- Белые комедоны могут быть признаком наличия гинекологических заболеваний.
Приметы
- Если прыщи снятся, то это означает появление трудностей в важном деле, которые обязательно удастся преодолеть. Зудящие элементы говорят о проблеме, которая решится в скором времени.
- Существует примета, если прыщ вскочил на левой груди, то человека ожидает сюрприз или новое знакомство. На правой груди – к приятному известию, в центре – к принятию судьбоносного решения.
Отзывы
При правильном подходе к борьбе с высыпаниями у 85% людей кожа полностью очищается.
У остальных причины сыпи скрываются внутри организма.
Поэтому победить угри не получится, пока не будет решена основная проблема со здоровьем.
Можно ли применять перекись водорода от прыщей на лице? Узнайте тут.
Помогает ли Клензит с от прыщей? Читайте далее.
Одним из самых распространенных дерматологических недугов, не понаслышке знакомых огромному количеству людей, в числе которых и женщины, и мужчины, и подростки, являются прыщи. Особый дискомфорт, в особенности представительницам прекрасного пола доставляют прыщи на груди, не только вызывающие жжение и зуд, но и заставляющие женщину забыть о шикарном декольте.
Появление мелких прыщиков на груди может быть вызвано различными причинами: неправильным уходом за кожей, нездоровым питанием, гормональным сбоем в организме, патологиями в работе желудочно-кишечного тракта, нервным перенапряжением. Для того, чтобы лечение прыщей в зоне декольте прошло успешно и недуг не дал о себе знать спустя непродолжительный период времени, очень важно обратиться за помощью к дерматологу. Специалист, для того чтобы выявить причину высыпаний на груди, исходя из которой должна определяться тактика лечения, назначит прохождение комплексного обследований: лабораторные анализы мочи и крови, сдачу аллергопроб, ультразвуковое исследование внутренних органов. Самолечение с применением народных способов, специальных средств или лекарственных препаратов для борьбы с прыщами на груди, вероятнее всего позволит достигнуть лишь временное улучшение состояния кожных покровов.
Одной из причин появления прыщей в области груди зудящих является развитие аллергической реакции, вызванной употреблением определенных продуктов питания, применением средств для ухода за телом (мыло, крем, гель для душа), использованием стирального порошка или ополаскивателя. Часто причина кроется и в ношении одежды, выполненной из неподходящих материалов, при контакте с которой кожа дает ответные реакции (так называемый аллергический контактный дерматит). В этом случае стоит отказаться от плотной облегающей одежды, провоцирующей «запирание» пота и как следствие закупоривание пор и развитие воспалений, и отдавать предпочтение одежде из натуральных материалов (хлопок, ситец, лен), обеспечивающих хорошую циркуляцию воздуха.
Еще не так давно дерматологи рекомендовали для лечения красных прыщей на груди, вызванных развитием аллергии, использовать антигистаминные лекарственные средства и гормональные крема. В современное время все большее количество специалистов отказываются от назначения указанных средств, имеющих немало побочных эффектов и предлагают проводить лечение путем включение в рацион питания продуктов, богатых кверцетином – натуральным природным антиоксидантом с ярко выраженными антигистаминными свойствами. К числу таковых продуктов относятся каперсы, виноград (ягоды которого имеют синий и красный окрас), зеленый чай, репчатый лук, грейпфрутовый сок.
В борьбе с высыпаниями в зоне декольте необходимо пересмотреть рацион питания и обогатить его продуктами, химический состав которых позволяет использовать их для устранения неприятного недуга. К числу таковых относятся:
— чистая вода. Для сохранения красоты и молодости кожи и избавления от различного рода дефектов, необходимо выпивать в сутки порядка двух литров очищенной воды (при этом не учитывается жидкости из супов, борщей, компотов и прочего). Благодаря этой нехитрой манипуляции происходит активизация процесса регенерации клеток кожи, вследствие которой имеющиеся неприятные высыпания скорее покинут область груди.
— зеленый чай. Входящие в состав напитка катехины, обладающие противовоспалительным действием, сделают кожный покров чистым, гладким и ровным;
— орехи. Богатые селеном, способным восстанавливать поврежденные зоны кожи, орехи избавят от любых изъянов кожного покрова;
— оливковое масло. Полинасыщенные жирные кислоты, концентрация которых в оливковом масле достаточно высока, оказывают благоприятное воздействие на состояние кожи.
Устранить красные прыщи на груди, снять красноту кожных покровов и ощущение зуда поможет простая, выполняемая в домашних условиях процедура, именуемая «прижигание». Существует несколько способов ее проведения:
— при незначительном количестве прыщей на груди можно, используя ватную палочку, смазывать каждый из них небольшим количеством йода. Если же прыщей много, такое прижигание проводить не рекомендуется дабы не получить ожоги, так кожа на груди отличается повышенной чувствительность;
— истолочь в порошок таблетку эритромицина и разбавить ее теплой кипяченой водой в соотношении 2:1, полученной кашеобразной массой, используя ватную палочку, протирать прыщи на груди;
— развести в горячей воде (200 мл) питьевую соду и сахарный песок (по 1 ч. л. каждого компонента), перемешать раствор и обрабатывать им прыщи;
— соединить в равных пропорциях спирт и свежеотжатый лимонный сок, осторожно нанести смесь непосредственно на проблемные области, поверх обработать сливочным маслом и по прошествии часа смыть теплой водой.
Избавиться от красных прыщей на груди помогут и народные средства, особую популярность среди которых получили:
— дегтярное мыло. В его составе отмечаются натуральные компоненты, которым присуще антисептическое, противовоспалительное, противопаразитарное и подсушивающее действие. Первые положительные результаты от использования дегтярного мыла в борьбе с высыпаниями будут заметны уже через пару дней. Однако не стоит злоупотреблять применением данного средства в виду его особенности сильно сушить кожный покров;
— лимонный сок. Необходимо соединить в равных дозах теплую кипяченую воду и свежеотжатый сок лимона (по 3 ст. л.) и растворить в полученной жидкости 10 капель чайного дерева. Хорошенько размешать все компоненты, залить раствор в распылитель и с его помощью равномерно распределить средство на коже груди. После высыхания средства смыть его теплой водой.
— пищевая сода. В пропорции 1:1 соединить кипяченную воду и пищевую соду, старательно все перемешать. Полученным скрабом массирующими движениями обработать проблемные области и по прошествии 5 минут смыть;
— огуречная маска. Небольшой по размеру свежий огурец натереть на терке, залить полученную массу небольшим количеством кипятка, дать постоять 20 минут. Готовое лечебное средство нанести на область декольте на 20 минут, после чего смыть прохладной водой и обработать проблемные области кубиком льда;
— маска на основе дрожжей. 1 ст. л. сухих дрожжей залить небольшим количеством теплой (50 градусов) кипяченой воды до получения кашеобразной густой массы. Наносить маску на 10 минут, после чего ополоснуть зону декольте чистой водой;
— сок алоэ. Предварительно вымытый и высушенный лист алоэ измельчить (пропустить через мясорубку, например), полученную кашицу обернуть в марлю и хорошенько отжать. Полученным соком, обладающим местным антибактериальным действием, протирать проблемные области.
Если вскочил прыщик на груди и народные способы оказываются безрезультатными, стоит воспользоваться аптечными лекарственными препаратами:
— Скинорен. Дорогостоящее, выпускаемое в виде геля или крема средство способно не только избавить область декольте от прыщей, но и частично воздействовать на вызвавшие этот недуг причины.
— Базирон АС. Высокая концентрцая бензоина пероксида делает этот медикамент эффективным средством в борьбе с неприятными высыпаниями. Лечебный эффект не заставит себя долго ждать;
— Серная мазь. Обладая сильным антибактериальным действием, этот препарат поможет не только избавиться от прыщей на груди, но и предотвратить их появление в ближайшем будущем.
Для того чтобы не допустить появление прыщей в области груди рекомендуется:
— обеспечивать чувствительной коже в зоне декольте особый уход;
— во избежание закупорки потовых желез и очищения кожи раз в неделю при мытье использовать скраб и дегтярное мыло;
— в жаркую летнюю пору принимать душ не только перед сном, но и несколько раз на протяжении дня;
— девушкам, склонным к появлению прыщей, отказаться от ношения бюстгальтеров с поролоном.
Красные прыщи, возникшие в области декольте, не только представляют собой серьезную эстетическую проблему, но и могут сигнализировать об определенных сбоях в работе организме. По этой причине рекомендуется обратиться за помощью к дерматологу, так как самолечение не всегда сможет искоренить причину высыпаний, и спустя время прыщи будут вновь и вновь давать о себе знать.
Причины
Причин, почему могут появляться прыщи на грудной клетке, очень много. Поэтому консультация врача обязательна. Но проанализировав свои привычки, образ жизни, проблемы с внутренними органами, о которых известно, а также внешний вид высыпаний, можно предположить, какие причины ведущие.
Наиболее распространённые причины, почему у мужчин и женщин появляются такие прыщи:
- Гормональный дисбаланс – согласно исследованиям специалистов, примерно в каждом третьем случае прыщи на лице, шее, плечах и в области декольте связаны с этой причиной. Кожа грудной клетки и у мужчин, и у женщин очень чувствительна к перепадам уровня гормонов, поэтому высыпания появляются именно в этой части тела. Наиболее часто такая проблема возникает в пубертатном возрасте, во время лечения гормональными препаратами, у женщин ещё и во время беременности, при нарушениях менструального цикла и нарушениях функционирования яичников.
- Закупорка пор. В таком случае прыщики обычно мелкие, белого цвета, не доставляют сильного дискомфорта. Закупорка пор может возникать в результате чрезмерной секреции сальных желез, естественного отмирания клеток эпителия или недостаточно частого или тщательного мытья кожи.
- Недостаточное дыхание кожи, нарушение кровоснабжения. Такое бывает при ношении синтетической и слишком облегающей одежды, а также у людей с избыточным весом. При ожирении очень часто можно наблюдать красные воспалённые прыщи под грудью, между кожными складками. В большинстве случаев они болезненные и мешают спокойно двигаться.
- Аллергическая реакция. Прыщи на плечах, шее, лице могут быть проявлением аллергии на пищевые продукты, медикаменты, бытовую химию, косметические средства и даже на материал, из которого изготовлена одежда. При этом высыпания бывают как единичными, так и занимающими значительные участки поверхности кожи.
- Нарушения обменных процессов и работы внутренних органов. Нередко наблюдаются высыпания при сбоях в работе почек, печени, любого из органов пищеварительной системы. При сахарном диабете некоторые пациенты жалуются, что у них регулярно появляются большие гнойные прыщи.
- Стресс. И один сильный стресс, и незначительные стрессовые ситуации, которые наблюдаются в течение длительного времени, могут вызывать различные нарушения в работе организма, которые иногда проявляются в виде высыпаний на грудной клетке. Характерный признак, который говорит о высокой вероятности того, что причиной прыщей стал стресс, — это локализация высыпаний вдоль позвоночника.
Лечение
Правильное лечение заключается в комплексном подходе – сочетании местного воздействия на кожу грудной клетки (маски, мази, использование лечебного мыла), лечения внутренней причины и общеукрепляющей терапии.
Вот некоторые методы, которые помогут даже в домашних условиях убрать или уменьшить высыпания:
- купайтесь, используя дегтярное мыло или мыло с содержанием камфоры;
- сделайте скраб из натуральных компонентов и очищайте кожу с его помощью. Например, можно использовать такой состав: 3 столовые ложки овсянки и чайная ложка соды;
- используйте дезинфицирующие тоники. Для этого смешайте в равных количествах минеральную воду и сок лимона (достаточно по 3 ст. ложки) и добавьте 7-8 капель масла чайного дерева. Можно использовать и другие варианты, например, растворить в минеральной воде морскую соль (берут равные количества воды и соли) или немного марганцовки (несколько кристалликов на пол-литра воды);
- можно делать маски для кожи – очень полезны маски из мякоти дыни, маски на основе белой косметической глины с добавлением эфирного масла чайного дерева. Хорошо подходят для кожи груди многие маски для лица;
- соблюдайте лечебную диету, пейте больше воды.
Но стоит помнить, что в домашних условиях можно убрать только симптомы. Для того чтобы устранить проблему полностью, нужно пойти в больницу, сдать анализы и пройти полный курс лечения, который поможет восстановить здоровье внутренних органов.
Подводим итог
Прыщи на груди появляются и у мужчин, и у женщин в разном возрасте. Причины появления индивидуальны, поэтому лечение должен подбирать специалист. Даже врач будет назначать препараты только после тщательного обследования.
Но для того, чтобы уменьшить дискомфорт или устранить симптомы, можно воспользоваться методами народной медицины. Прежде чем пользоваться какими-то из них, тоже нужно посоветоваться с лечащим врачом, чтобы не усугубить ситуацию.
Рекомендации эксперта
Прыщи на груди – нередкое явление, но в большинстве случаев его можно предотвратить. Для этого можно воспользоваться такими советами врачей:
- носите одежду из натуральных тканей и следите за тем, чтоб она не была тесной;
- ежедневно принимайте душ;
- избегайте употребления продуктов, которые вызывают у вас аллергическую реакцию;
- не запускайте заболевания, которые были диагностированы;
Если появляются прыщи, ни в коем случае нельзя их выдавливать – это приведёт к распространению инфекции.

Очень мелкие прыщи белого цвета или красного оттенка – это, чаще всего, высыпания аллергического характера.