Симптомы
Симптомы патологии выражены слабо. Признаки кальциноза сходны с симптомами гепатита, тогда заболевание имеет следующие проявления:
- У пациента снижается аппетит, часто проявляется тошнота, извержение рвотных масс, иногда с примесью крови (вследствие расширения сосудов пищевода).
- В правом подреберье у больного возникают болезненные ощущения, возникают расстройства пищеварения.
- Пациент быстро устаёт, у него кружится голова, повышается эмоциональная возбудимость.
- Быстро снижается вес, кожные покровы окрашиваются в жёлтый цвет.
- Стремительное снижение массы тела, при этом у пациента возникает боль в правом подреберье.
- Изменение размера органа, как правило, вследствие проникновения в печень лямблий.
- Повышенная раздражительность, отсутствие аппетита, тошнота. Эти признаки проявляются в результате отравления организма больного метаболитами паразитов.
- У больного возникают расстройства сна, неприятный аромат изо рта, угревая сыпь, часто болит голова.
- Если в печени стремительно развиваются паразиты, то на повреждённых участках появляются рубцы, которые через некоторое время покрываются солевыми отложениями.
Повреждённый участки при кальцинате на фоне паразитарных болезней имеют продолговатую форму.Если кальциноз возник на фоне туберкулёза, то у больного быстро снижается вес, он постоянно чувствует слабость, боль в правом боку. Кроме того, нередко увеличивается селезёнка. Размер печени тоже увеличивается, а её ткани в разной степени повреждены солевыми отложениями.
Кальциноз не проявляется, как самостоятельная болезнь, но иногда её признаки выражены достаточно ярко. Самостоятельно по симптомам пациент не сможет выявить характер патологии. Ведь если отсутствует рвота с вкраплениями крови, то интоксикацию легко спутать с кальцинозом. По этой причине категорически запрещено проводить самостоятельное лечение и принимать любые препараты без ведома врача.
Как упоминалось ранее, кальциноз, как правило, имеет скрытое течение или проявляется невыраженными симптомами. Поэтому часто его выявляют в результате планового осмотра.
Как упоминалось ранее, печеночные кальцинаты не проявляются симптомами или сопровождаются невыраженными признаками. Из-за этого больной длительное время не знает о том, что у него есть проблемы со здоровьем. Однако при патологии повышается вероятность онкологических заболеваний (карцинома и т. д.).На фоне кальциноза возникают расстройства функциональности печени. А ведь этот орган отвечает за перекачку и фильтрацию крови. Из-за нарушения работы железы страдают и другие органы, как следствие, ухудшается общее состояние человека.
Поэтому так важно не пропускать плановые осмотры и быть внимательным к своему здоровью.
Кальциноз у плода – это редкое явление, но иногда у детей во время исследований обнаруживают солевые отложения. Эта патология у новорожденного свидетельствует о заболеваниях сердца и других органов.
Устранение солевых отложений
Во время лечения следует помнить, что кальцификаты являются следствием других болезней. Поэтому лечение кальцинатов в печени основано на устранении основного заболевания.Если солевые отложения появились на фоне гепатита, то сначала нужно принимать противовирусные, иммуномодулирующие препараты, гепатопротекторы. Только после терапевтического курса можно приступать к устранению образований.
Народные средства
Лечение кальциноза проводят с помощью народных рецептов. Если минеральные скопления появились вследствие глистных инвазий, то для их предотвращения используют тыкву. Для этого пациент должен употреблять пару горстей семян тыквы каждый день.
Профилактические меры
Чтобы предупредить образование кальцинатов и нормализовать функциональность печени, необходимо правильно питаться и вести здоровый образ жизни.В ежедневный рацион следует ввести овощи, фрукты, зелень, диетическое мясо, кисломолочные продукты с низким процентом жирности.Кроме того, рекомендуется употреблять морскую рыбу, растительные масла (например, оливковое, кукурузное, льняное). Мёд, орехи, сухофрукты, сезонные фрукты и ягоды предпочитают кондитерским изделиям.
Профилактика и народные средства
Для профилактики и регуляции функции печени рекомендовано придерживаться правильного и диетического питания, изменить пищевые привычки. Больше употреблять в пищу сезонных овощей и фруктов, зелени, нежирного мяса и молочных продуктов. Отдать предпочтение морской рыбе и растительным маслам, например, оливковому маслу. Кондитерские изделия можно заменить медом, орехами, сухофруктами, сезонными фруктами и ягодами. Пересмотреть способ термической обработки блюд: запекание, приготовление на пару и отваривание продуктов наиболее предпочтительно. Отказаться от курения и употребления алкоголя, крепкого чая и кофе. Употреблять достаточное количество чистой воды — природного растворителя, недостаток употребления которой ведет к накоплению шлаков в организме.
Можно воспользоваться народными средствами. Употребление тыквенных семечек является прекрасным профилактическим средством против гельминтозов. А мякоть тыквы с медом оказывает благоприятное воздействие на функцию печени и помогает в лечении ее заболеваний. Доказано положительное воздействие на состояние печени травяных сборов на основе расторопши пятнистой
Рецептов народных средств очень много, но следует с осторожностью подходить к выбору такого способа лечения. Лучше всего проконсультироваться о намерении проводить нетрадиционную терапию с врачом
Самолечение может не только усугубить состояние и потерять драгоценное время, но и навредить, способствуя прогрессированию болезни.
Симптомы
Если причиной появления кальцинатов в печени и селезёнке стали паразиты, то заметить бляшки в печени и диагностировать их очень трудно, обычно это происходит случайно. Печень идеальная среда для их проживания и размножения
Однако есть тревожные звоночки, на которые следует обратить внимание и заподозрить наличие чужеродных организмов в печени. В целом, симптомы присутствия паразитов схожи с образованием кальцинитов
- Изменение размера печени, конечно, это можно заметить только на УЗИ. Есть подозрения, что спровоцировали деформацию органа лямблиями.
- Молниеносное снижение веса, сопровождающиеся болью в правом боку.
- Снижение аппетита, тошнота.
- Нарушение здорового, полноценного сна, частые бессонницы.
- У человека появляется неприятный запах изо рта.
Человек может прожить всю жизнь, не узнав, что у него в печени есть калицинаты. Однако есть большая опасность, что возле отложенных минералов не начнёт формироваться раковые клетки. Тем не менее, случается это крайне редко.
При ноющей боли в правом боку в комплексе с нарушением пищеварения и расстройством желудка необходимо сразу обращаться за квалифицированной врачебной помощью, иначе можно запустить болезнь и пропустить самую раннюю её стадию.
Кальциноз может существенно снизить работоспособность печени, а это, соответственно, скажется на состоянии всего организма. Кровь не будет поступать в нужные органы, нарушится обмен веществ и другие жизненно-важные процессы.
Лечение и профилактика кальцинатов
Сами по себе кальцинаты печени ни лечения, ни динамического наблюдения не требуют. Однако они свидетельствуют о проблемах со здоровьем, поэтому стоит провести полную диагностику, чтобы определить причину, по которой они образовались либо пройти курс терапии при хроническом заболевании печени. Также следует исключить онкологические заболевания, так как кальций откладывается на месте опухолей.

Если печень работает без перебоев и других заболеваний не выявлено, никакой терапии не требуется, но стоит обратить внимание на свой образ жизни и тщательно следить за изменениями самочувствия. При появлении болей и тяжести в правом подреберье и расстройствах пищеварения не откладывайте визит к врачу, чтобы не пропустить начало болезни
Профилактика кальцинатов
Профилактика кальцинатов заключается в бережном отношении к функциям печени. В первую очередь это касается пищевых привычек. Рацион должны составлять:
- сезонные овощи и фрукты;
- зелень;
- нежирное мясо;
- молочные продукты;
- морская рыба.

Не забывайте об активном образе жизни, благодаря которому насыщаются кислородом ткани и органы, укрепляется иммунитет, здоровье организма в целом повышается.
Народные средства для профилактики кальцинатов

Внимательно относитесь к своей печени, не отмахивайтесь от очевидных симптомов её дисфункции – ведь лучше вовремя посетить врача и начать лечение, чем упустить драгоценное время и получить кальцинаты как осложнения.
Как протекает жёлчекаменная болезнь
Основными факторами, оказывающими влияние на течение болезни, являются характер питания и размеры конкрементов. Жёлчекаменная болезнь может протекать как в форме хронического камненосительства, так и в острой, а порой и в осложненной форме.
Откуда берется боль при жёлчекаменной болезни?
Сами по себе, конкременты жёлчного пузыря не вызывают никаких болевых ощущений и могут быть случайной находкой во время диспансеризации. При поступлении пищи в двенадцатиперстную кишку, раздражаются механорецепторы и вызывают сокращение жёлчного пузыря. Конкременты вклиниваются в шейку, вызывая при этом длительный спазм, который и проявляется болевым синдромом. При приеме спазмолитических препаратов, конкремент может «отойти» назад из шейки и приступ печеночной колики купируется. Если же конкремент останется в шейке, то на фоне обструкции начинает развиваться воспаление.
Хронический калькулезный холецистит – бессимптомное камненосительство. Размеры конкрементов могут варьировать от 2 – 3 мм до 5 см. Для этой стадии характерно почти полное отсутствие клинических проявлений болезни. Конкременты могут находиться в просвете жёлчного пузыря годами, не вызывая никаких симптомов. Однако, при погрешности, может возникать дискомфорт в правом подреберье, купируемый самостоятельно или на фоне приема спазмолитических препаратов.
Водянка жёлчного пузыря — возникает на фоне обструкции шейки жёлчного пузыря конкрементом, отключении последнего от попадания жёлчи. Пузырь заполняется слизью, секретируемой слизистой и не участвует в пищеварении.
Острый калькулезный холецистит – возникает при длительной обструкции шейки жёлчного пузыря конкрементом. Болевой синдром сохраняется на фоне неэффективного консервативного лечения. Пациента беспокоит рвота, не приносящая облегчения, боли могут ощущаться за грудиной – холецистокардиальный синдром, в правую лопатку. Поднимается температура тела, появляются ознобы. В стенке жёлчного пузыря начинают развиваться воспалительные изменения, которые проходят от катаральной формы, флегмонозную и гангренозную. На фоне последней может развиться перфорация жёлчного пузыря или абсцесс.
Холедохолитиаз и острый билиарный панкреатит. Холедохолитиаз развивается в результате миграции билиарного сладжа или мелких конкрементов из жёлчного пузыря в общий жёлчный проток. Попадая в холедох, мелкие конкременты беспрепятственно спускаются до сфинктера Одди, который представляет собой выпускной механизм — циркулярную мышечную манжету. Сладж и конкременты «вклиниваются» в сфинктер, вызывая его длительный спазм, вызывая нарушение оттока жёлчи — механическую желтуху. Кожные покровы, склеры пациента становятся насыщенного желтого цвета. Это состояние требует экстренной декомпрессии жёлчных путей – восстановления оттока жёлчи.
Повышение давления в общем жёлчном протоке способствует забросу жёлчи в главный панкреатический проток и внутрипротоковой активации ферментов панкреатического сока – пусковой механизм развития острого билиарного панкреатита.
Синдром Мириззи. Достаточно редкое осложнение жёлчекаменной болезни. Развивается в результате длительного камненосительства. Сначала формируется стриктура, потом пролежень между жёлчным пузырем и общим жёлчным протоком.
Синдром Мириззи представляет значительные трудности для хирургического лечения. Это связано с тем, что в человеческом организме не существует пластического материала для закрытия дефекта общего жёлчного протока. Хирургическое лечение синдрома Мириззи нередко сопровождается формированием анастомоза между тонкой кишкой и общим жёлчным протоком. При миграции конкремента в тонкую кишку может развиться острая кишечная непроходимость, требующая экстренного хирургического лечения.
На фотографиях в просвете резецированного участка тонкой кишки находится конкремент, вызвавший кишечную непроходимость.
В каких органах возникают
Отложения солей кальция преимущественно появляются в легких человека, в молочной железе у женщин, в предстательной железе у мужчин, селезенке, печени, почках, мозге. Часто их присутствие в тканях не выражается какими-либо симптомами.
Их наличие случайно выявляется в ходе ультразвукового исследования. Иногда обызвествление проявляется симптомами.
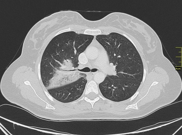
Легочные кальцинаты
Наличие образований в органах дыхания может проявиться в виде учащения дыхания, одышки и посинения кожных покровов. Кальцинаты в легких нередко возникают после перенесенной пневмонии или туберкулеза. Также сопутствует их формированию легочный гельминтоз.
Кальцинаты в молочной железе
Наличие образований в женской груди преимущественно не проявляется симптомами. Возможны жалобы на присутствие уплотнений. Реже наблюдается боль в молочной железе. Иногда отмечаются покраснение, жжение и выделения из сосков.
Кальцинаты в предстательной железе
Отложения в простате у мужчин возникают на фоне длительного воспаления в ее тканях. Обычно это происходит при хроническом простатите или венерическом заболевании. Также появлению образований предшествует ухудшение кровообращения в предстательной железе на фоне нерегулярной половой жизни и низкой двигательной активности.
Чаще кальциноз простаты проявляется в виде:
- нарушения мочеиспускания (его учащения или затруднения);
- тяжести и болезненности в паху;
- ухудшения качества половой жизни.
Сопутствующим явлением иногда становится ухудшение качества спермы, что отражается на репродуктивной функции мужчины.
Кальцинаты в селезенке
Мелкие отложения не сопровождаются симптомами. Крупные образования нередко сдавливают сосуды в селезенке, что нарушает кровоток в ней.
Возможно появление симптомов в виде ноющей боли в левом подреберье, тошноты, слабости и длительного повышения температуры тела до 37-38C.
Кальциноз печени
Причинами появления отложений в этом органе чаще являются гельминтозы и гепатит. Кальциноз печени проявляется ноющими болями в правом подреберье. Реже возникает рвота с кровянистыми вкраплениями.
Кальцинаты в почках
Единичные образования не сопровождаются какими-либо симптомами. Множественные кальцинаты в почке способны вызвать следующие симптомы у человека:
- боли в пояснице;
- частое мочеиспускание;
- постоянное чувство жажды;
- отек ног;
- повышение кровяного давления.
Обызвествлению особенно подвержены люди, переболевшие пиелонефритом и гломерулонефритом. Кальциноз почек нередко встречается у лиц, в рационе которых в избытке присутствует белковая пища.
Кальцинаты в мозге
Формированию отложений в этом органе иногда сопутствует развитие опухоли. Обызвествление нередко сопровождается головокружениями и головными болями. Кальциноз в тяжелых случаях приводит к появлению частых обмороков и ухудшению памяти.
Основные сведения
Многих пациентов, которые столкнулись с данной патологией, интересует вопрос о том, что такое кальцинат печени. Участки тканей печени разного размера, где откладываются соли кальция, – это кальцинаты. Они могут появляться в тканях лёгких, селезенки, предстательной железы и т. д. Чаще всего солевые отложения вторичные и возникают на месте длительного воспалительного процесса. Кальциноз (обызвествление) проявляется на фоне инфекционных заболеваний, новообразований в печени, гельминтоза (заражение глистами). Кроме того, патологические отложения скапливаются вследствие механических травм.
Кальцинаты в печени
Многие медики придерживаются мнения, что кальциноз развивается вследствие расстройства метаболизма кальция. Однако существует альтернативное мнение, согласно которому организм формирует солевые отложения на повреждённом участке, чтобы остановить распространение патологического процесса.
Соли кальция могут появляться в правой доле, левой доле печени или их участках (например, 2 сегмент левой доли), кровеносных сосудах или желчевыводящих протоках. Твёрдые комки, которые состоят из солей кальция, замещают здоровые печёночные клетки (гепатоциты). Опаснее всего, когда многочисленные образования размещаются рядом с главными протоками.
Таким образом, солевые образования – это следствие перенесённого патологического процесса, но не самостоятельное заболевание. Организм формирует бляшку из солей кальция, чтобы воспаление или отмирание тканей не распространялось дальше.
Медики выделяют следующие виды кальцинатов в печени:
- единичные,
- множественные,
- линейные,
- крупные,
- мелкие.
Единичный кальцинат может сформироваться вследствие гельминтоза. При патологиях, которые распространяются по всему организму, наблюдаются множественные отложения.
Метаболический калициноз возникает из-за того, что буферные системы нестойкие, как следствие, ионы кальция не задерживаются в кровяном русле и тканевой жидкости. Метастатические отложения образуются вследствие расстройства эндокринной регуляции метаболизма кальция, в результате которого повышается выход минерала из депо.
Что такое кальцинаты печени?
Кальцинаты печени обычно не вызывают никаких симптомов и не требуют лечения. Однако в некоторых случаях они могут быть связаны с определенными заболеваниями печени или нарушениями обмена веществ.
Образование кальцинатов в печени может быть вызвано различными причинами. Одной из основных причин является нарушение обмена кальция и фосфора в организме, что может быть связано с патологиями печени или нарушениями обмена веществ. Отложения кальция могут также образовываться в результате воспалительных процессов или травмы печени.
Кальцинаты могут обнаруживаться в различных частях печени и иметь различные размеры. Их размеры могут варьироваться от мельчайших кристаллов до крупных камней. Обычно кальцинаты в печени не представляют опасности и не требуют обязательного лечения, однако в некоторых случаях их возможно потребуется удалить.
Для идентификации кальцинатов печени может быть проведено рентгенологическое исследование или УЗИ печени. Если картина парагенезиса вызывает у врача подозрения на наличие кальцинатов, может потребоваться проведение более специфичных исследований.
Определение и состав
Кальцинаты печени представляют собой отложения кальция в тканях печени. Кальцинаты образуются, когда ионы кальция соединяются с другими химическими веществами и оседают в виде твердых накипей.
Состав кальцинатов печени включает в себя кальций в соединении с разными химическими элементами, такими как оксалаты, фосфаты, карбонаты и другие. Он также может содержать следы других веществ, например, белка или жира.
Кальцинаты печени имеют гранулярную структуры и обычно представлены мелкими или средними образованиями, которые могут быть обнаружены при обследовании печени с использованием медицинского оборудования, такого как ультразвуковые аппараты или компьютерная томография.
При образовании кальцинатов печени могут также присутствовать другие элементы, такие как магний, фосфор, натрий и калий, однако основной компонент всегда является кальций.
Образование кальцинатов
Кальцинаты печени представляют собой кальциевые осадки, образующиеся в тканях печени. Они возникают в результате отложения солей кальция внутри печеночных клеток или внутри желчных протоков. Это важный показатель возможного нарушения метаболических процессов в организме.
Кальцинаты образуются при нарушениях обмена кальция, а также при различных заболеваниях печени. Причиной их образования может быть хронический гепатит, цирроз печени, холестаз, желчнокаменная болезнь и другие патологии, а также неконтролируемая прием оральных контрацептивов, длительный прием лекарственных препаратов с противопоказаниями для печени.
Кальцинаты могут иметь различный размер и локализацию. Они могут быть как одиночными, так и множественными. В большинстве случаев, кальцинаты обнаруживаются случайно при проведении диагностических исследований, таких как УЗИ или рентген печени.
Образование кальцинатов в печени может стать сигналом о наличии серьезных патологических процессов
Поэтому важно своевременно обратиться к врачу для проведения диагностики и определения причин их образования. На основе полученных данных будет разработан индивидуальный план лечения, который может включать лекарственные препараты, диету, физиотерапевтические процедуры и другие методы воздействия
Локализация и размеры
Кальцинаты печени могут локализоваться в разных частях органа. Они могут образовываться как на поверхности печени, так и внутри ее тканей.
Наиболее распространенной локализацией кальцинатов является корковая зона печени. Они чаще всего образуются внутри портальных пространств, между портальными трактами и центральной веной.
Размеры кальцинатов печени могут быть различными. Они могут быть мелкими, размером с песчинку, или достигать больших размеров, напоминая мелкий гравий. Иногда кальцинаты печени могут быть настолько крупными, что их можно легко обнаружить при пальпации живота.
Значительно важно отметить, что размеры кальцинатов печени не всегда коррелируют с тяжестью и уровнем заболевания. Некоторые пациенты могут иметь крупные кальцинаты, но при этом не испытывать никаких клинических симптомов, в то время как у других могут быть небольшие размеры кальцинатов, но при этом симптомы будут выражены в яркой форме
Кальцинаты в селезенке на КТ что это
Скопление минеральных солей с последующим формированием конкремента чаще наблюдают как осложнение воспалительного, инфекционного, онкологического и другого патологического процесса. Причинами кальциноза служат:
-
добро- и злокачественные новообразования селезенки;
-
травмы брюшной полости с механическим поражением органа;
-
гормональные и метаболические нарушения;
-
инфекционные заболевания;
-
генетическая предрасположенность.
В зависимости от причин и механизма развития заболевания выделяют дистрофическую, метастатическую и метаболическую кальцификации.
В первом случае процесс является физиологическим ответом организма на дегенерацию и некроз тканей селезенки. При снижении уровня pH в пораженном участке усиливается абсорбция солей кальция из крови и интерстициальной жидкости. Чаще дегенеративные изменения возникают на фоне ишемии, инфекционного поражения. Причинами кальцификации служат артериосклероз, длительно сохраняемые экссудаты при хронических воспалительных процессах.
Травма селезенки на КТ
В некоторых случаях инфекционные гранулемы усиливают продуцирование витамина D. В группе риска по развитию кальциноза находятся пациенты, страдающие:
-
цистицеркозом;
-
гистоплазмозом;
-
онхоцеркозом;
-
криптококкозом.
Для инфекционных поражений характерно образование кальцинатов в других органах брюшной полости (печени, поджелудочной железе).
Метастатическая форма развивается как следствие разрушения костной ткани, повышения уровня витамина D, гиперпаратиреоза. Соли кальция поступают в кровоток и оседают в паренхиме селезенки, печени.
У людей пожилого возраста обызвествление развивается на фоне метаболических нарушений. У детей кальцинаты могут образовываться при избыточном поступлении в организм витамина D.
Обызвествление внутренних органов на начальном этапе протекает бессимптомно. Клинические признаки зависят от характера основного заболевания, локализации и размеров кальцината.
Большие множественные конкременты вызывают болезненные ощущения в левом верхнем квадранте живота. На осмотре выявляют увеличение селезенки, возможно нарушение функции органа. Структурные изменения паренхимы приводят к появлению локальных воспалительных очагов.
При длительном течении процесса возможно уменьшение размеров селезенки с последующей дисфункцией (аутоспленэктомией).
В большинстве случаев при выявлении кальцинатов в селезенке врач назначает регулярные скрининговые обследования. Увеличение размеров конкремента является поводом для проведения консервативного или хирургического лечения.
Диагностические исследования
Как упоминалось ранее, кальциноз, как правило, имеет скрытое течение или проявляется невыраженными симптомами. Поэтому часто его выявляют в результате планового осмотра.
Проще всего выявить кальциноз с помощью УЗИ или МРТ
Соли кальция могут длительное время откладываться в долях печени после механической травмы, паразитарных болезней, тяжёлого воспаления и т. д.
Магнитно-резонансная томография – это наиболее простой метод выявления отложений. В ходе исследования можно увидеть кальцификаты в трёхмерном виде. Единственный недостаток – это высокая стоимость МРТ, по этой причине данный метод доступен далеко не всем.
УЗИ редко применяют для выявления кальцификатов. Образования на изображении выглядят как уплотнения или сгустки с тенью. Ультразвуковое исследование не такое эффективное, как 2 предыдущих, однако его тоже применяют для выявления кальциноза.
Компьютерная томография позволяет диагностировать точное размещение и размеры солевых отложений.
С помощью биохимического анализа крови выявляют повышение концентрации ионов кальция. Однако этот способ диагностики считается дополнительным на фоне КТ, МРТ и рентгена.
Выявить причину кальциноза достаточно тяжело даже с помощью лабораторных исследований. Это объясняется тем, что отложения кальция могут накапливаться на протяжении длительного времени и никак не проявляться. Чаще всего проблему обнаруживают во время диагностики других болезней.
- Лабораторные анализы. Лабораторные исследования не всегда показывают реальную клиническую картину, которая происходит внутри печени. Но при подозрении на кальциноз врач обязательно назначает биохимический анализ крови. Этот метод помогает определить концентрацию ионов кальция. Если уровень находится выше нормы, врач расширяет диагностический поиск.
- МРТ. Магнитно-резонансная томография является наиболее информативным и простым способом диагностики. Во время проведения процедуры на мониторе отображаются кальцинаты в трехмерном виде. К недостаткам этого метода обследования относят высокую стоимость. Альтернатива МРТ – рентген снимок. При наличии кальцификатов в печени врач видит образования, которые имеют высокий уровень плотности.
- УЗИ. Применяется в редких случаях. Во время обследования при помощи УЗИ врач не может точно определить форму и вид кальцинатов. На мониторе видны только уплотнения или сгустки, которые дают тень. Ультразвук применяют в комплексе с другими методами.
К сожалению, кальцинаты печени не вызывают клинических симптомов. Человек может выявить у себя данное заболевание лишь при профилактическом осмотре. В частности, необходимо обследоваться после паразитарных заболеваний, перенесенного острого или хронического заболевания. Ведь после данных патологий возникают кальцинаты в печени.
Кальцинаты в печени на ультразвуковом исследовании
Что касается диагностики, то назначается биохимический анализ крови, где исследуют уровень кальция в крови, проводят диагностику эндокринной системы и назначают базовые инструментальные исследования. К ним относят ультразвуковое исследование, рентгенографию, МРТ или КТ. Последние два метода дают наиболее точную визуальную картину пораженного органа.
Категории
COVID-19АллергологАнестезиолог-реаниматологВенерологГастроэнтерологГематологГенетикГепатологГериатрГинекологГинеколог-эндокринологГомеопатДерматологДетский гастроэнтерологДетский гинекологДетский дерматологДетский инфекционистДетский кардиологДетский лорДетский неврологДетский нефрологДетский онкологДетский офтальмологДетский психологДетский пульмонологДетский ревматологДетский урологДетский хирургДетский эндокринологДефектологДиетологИммунологИнфекционистКардиологКлинический психологКосметологЛипидологЛогопедЛорМаммологМедицинский юристНаркологНевропатологНейрохирургНеонатологНефрологНутрициологОнкологОнкоурологОртопед-травматологОфтальмологПаразитологПедиатрПластический хирургПодологПроктологПсихиатрПсихологПульмонологРевматологРентгенологРепродуктологСексолог-андрологСтоматологТерапевтТрихологУрологФармацевтФизиотерапевтФитотерапевтФлебологФтизиатрХирургЭндокринолог
Подходы к терапии
При обнаружении кальцинатов назначается щадящая или радикальная терапия. Какому методу терапии отдать предпочтение, решает врач, в зависимости от состояния здоровья пациента.
Выбор метода
Эффективно применение таких методов:
-
Медикаментозная терапия.Прием препаратов – основа щадящей терапии. Они предназначены для снятия спазмов, устранения дискомфорта, улучшения геологии желчи, расщепления камней. Также назначается антибактериальная терапия.
Основные препараты, входящие в основу терапии:
- обезболивающие:Но-шпа, Папаверин, Дуспаталин.
- желчегонные:Урсофальк; Урсосан;
- антибиотики:Ампициллин, Левофлоксацин;
- фосфолипиды:Фосфоглив. Дозировка и длительность лечения назначается врачом в индивидуальном порядке.
-
Лечение рецептами народной медицины.Рецепты на основе природных компонентов применяются только в комплексном лечении, монотерапия при данном диагнозе недопустима. Несколько эффективных рецептов:
- брусничный настой.Свежие листки брусники залить стаканом кипятка, настаивать пару часов. Процедить, принимать за полчаса до приема пищи по столовой ложке;
- березовый отвар.Сушеные листики березы (100 грамм) залить 200 миллилитрами кипятка, настаивать в течение часа. Затем проварить на медленном огне 10 минут. Процедить, принимать по столовой ложечке трижды в сутки;
- редька.Стакан сока редьки выпивать дважды в сутки (желательно утром и на ночь). Эти простые в приготовлении рецепты народной медицины способствуют расщеплению кальцинатов.
- Лечебная диета.Больному необходимо соблюдать строгую диету, с ограничением потребления животных жиров. Продукты должны быть с минимальной калорийностью. Категорически недопустимо переедание. Принимать пищу необходимо небольшими порциями по 5-6 раз в сутки.
-
Хирургическое вмешательство.Печеночные камни удаляются путем проведения операции. Существует 2 вида оперативного вмешательства:
- полостная операция– удаление конкрементов после вскрытия брюшной полости. Такая операция в современной хирургии применяется редко и только в экстренных случаях;
- лапароскопия– удаление проводится через небольшие отверстия. Это – максимально щадящая форма операции, не сопровождается высокой травматичностью кожного покрова, не вызывает большой кровопотери, имеет минимальный перечень осложнений.

Профилактика
Печеночные камни могут спровоцировать возникновение карциномы, злокачественных новообразований. Также происходит глобальное нарушение функций органа, что приводит ко множественным сбоям в деятельности человеческого организма, в том числе в нарушении нормального кровообращения.
Для предотвращения формирования конкрементов, кальцинатов в печени необходимо проводить элементарные методы профилактики:
-
Разрешённые и запрещённые продукты при ЖКБ
Убрать из рациона питания вредные продукты, ограничить потребление жирных, острых и соленых блюд.
- Воздержаться от потребления алкогольных напитков.
- Отказаться от курения.
- Пить большое количество воды (не менее 2,5 литров воды в сутки).
- Выполнять хотя бы минимальный комплекс физических упражнений, вести активной образ жизни.
- Следить за весом, бороться с избыточной массой тела.
- Своевременно лечить возникшие заболевания.
Несмотря на то, что кальцинаты в печени – это опасная патология, которая тяжело поддается лечению, врачи заверяют, что ее можно полностью вылечить. После окончания лечебной терапии необходимо соблюдать рекомендации врача по реабилитации, восстановлению органа. Полная регенерация печени возможна, однако этот процесс может иметь длительный период.










