- 26 Августа, 2018
- Дерматология
- Сергей Северный
Мало кто знает, но демодекс — это клещ, живущий внутри волосяных фолликулов млекопитающих, в том числе и человека. Именно эти паразиты, которые, к слову, являются одними из самых мелких членистоногих, провоцируют развитие многих кожных заболеваний.
Как они передаются и можно ли избавиться от клещей демодекс, об этом в статье. Эти мелкие насекомые сидят под кожей почти у каждого человека и даже могут передаваться от одного другому.
Что такое демодекс?
Многие ошибочно полагают, что демодекс — это кожное заболевание, проявляющееся в виде акне, воспалений на лице и прочих неприятных симптомов. Демодекс, а если быть точнее, Demodex folliculorum -это вид паразитических клещей, обитающих в основном на теле человека.
Впервые Demodex folliculorum был распознан как отдельный вид в далеком 1963 году. С тех пор начались детальные исследования этих паразитов, в ходе которых о них удалось узнать много интересных фактов.
Так, например, выяснилось, что взрослый клещ достигает максимального размера до 0,4 мм. У него полупрозрачное вытянутое туловище и 8 лапок. Тело покрыто мелкими чешуйками, которые позволяют им цепляться за волосяной фолликул. Кроме того, у этого существа есть ротовой аппарат, с помощью которого ему удается поедать скапливающиеся в волосяных сумках частички сальных желез, клетки кожи и гормоны.
Клещ демодекс может передвигаться под кожей со скоростью до 16 см в час. Обычно свои перемещения он осуществляет в темное время суток, так как боится света.
Размножение
Клещи могут спариваться и размножаться. Эти природные процессы происходят в устье фолликула через половые отверстия.
Яйца самки клещей откладывают внутри сальных желез или волосяного фолликула. Спустя 3-4 дня вылупляются личинки, еще через неделю они превращаются во взрослых особей. Период жизни клеща Demodex brevis — несколько недель. После гибели тело членистоногого разлагается внутри сальной железы или фолликула.
Демодекс у человека
Среди всех млекопитающих именно человек считается основным носителем этого рода паразитов. Клещи Demodex folliculorum чаще всего поражают взрослых и пожилых людей. Дети гораздо меньше подвержены атаке со стороны этих членистоногих, так как на их теле выделяется в разы меньше кожного сала — любимого лакомства демодекса. Подобное действие и у клещей Demodex brevis. Рассмотрим, как происходит заражение.
Подкожный клещ может передаваться от одного человека к другому. Обычно это происходит при соприкосновении их волос, бровей, ресниц или сальных желез у носа. Кроме того, переносчиками некоторых разновидностей клещей Demodex могут быть домашние животные, в частности собаки. Одно из известных паразитарных заболеваний, вызываемых ими, — зооноз.
Чем опасны клещи?
Деятельность подкожных клещей, как правило, протекает незаметно. Однако в более редких случаях их присутствие может сопровождаться кожными заболеваниями. Самым распространенным из них является демодекоз. Он представляет собой поражение кожи лица в виде розовых угрей, аллергии и себореи.
Среди факторов, которые могут привести к развитию демодекоза, следует выделить:
- частые стрессы;
- ослабление иммунитета;
- нервные перегрузки.
Под воздействием этих явлений численность лицевых клещей демодекс значительно возрастает, в результате чего возникает ряд неприятных последствий. В таких случаях человек может испытывать зуд под кожей и даже ощущать едва заметные передвижения клеща. Зоны, в которых это происходит чаще всего, — носогубные складки, надбровные дуги, веки, лоб и подбородок.
Диагностика демодекоза
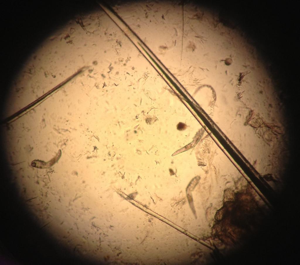
Не каждая сыпь на лице означает наличие демодекоза, ведь существует еще множество кожных заболеваний, имеющих похожие симптомы. В первую очередь, чтобы определить наличие этой болезни, необходимо сдать соскоб на клеща демодекс. Это самый надежный и точный способ убедиться в присутствии этого паразита.
Анализ на клеща демодекс делается просто и безболезненно. Специалист берет соскоб кожи лица или волосяного покрова (брови, ресницы) и отправляет его на исследование в лабораторию. Далее проводится его изучение под микроскопом. Именно так можно увидеть полупрозрачных паразитов и результаты их жизнедеятельности.
Симптомы демодекоза
Существует несколько явных симптомов клеща демодекс на лице, которые можно определить самостоятельно. К ним относятся:
- внезапное появление жирного блеска;
- появление воспалительных образований;
- комедоны;
- зуд на ресницах и в области век;
- зуд на некоторых участках лица;
Также стоит обратить внимание на локализацию кожных образований. При демодекозе прыщи чаще всего располагаются в одном месте или как будто бы стоят в ряд. Такие линии из прыщей на лице указывают на маршрут передвижения подкожного клеща. При появлении вышеперечисленных симптомов клеща демодекс стоит как можно скорее обратиться к дерматологу.
Способы лечения
Лечение симптомов должно назначаться врачом в зависимости от разновидности бактерии и серьезности заболевания. Как правило, на то, чтобы полностью избавиться от этих паразитов, уходит от 1 до 3 месяцев. Пациентам выписывают антибиотики и антибактериальные средства. В ход идут витамины, лосьоны, маски, дегтярное мыло и даже криомассаж.
Как лечить поражение клещом демодекс, должен решать врач. Как правило, весь курс лечения делят на этапы. В первую очередь уничтожают живущих под кожей паразитов, а уже затем избавляются от последствий их деятельности, прыщей и красных пятен.
Основная сложность в лечении к леща демодекс на лице состоит в том, что данное членистоногое защищено плотной оболочкой, через которую слабо проникают препараты. Именно поэтому применяются сразу несколько средств — антибиотики и специальные мази, которые имеют одновременно и наружный, и внутренний эффект.
Экспресс-лечение
Далеко не каждый пациент будет морально настроен на продолжительное лечение от подкожного клеща демодекс, когда узнает, что у него под кожей ползают паразиты. Несмотря на то, что любое воспаление должно лечиться комплексно, существует несколько методов, дающих возможность значительно ускорить и упростить этот процесс.
Речь идет о таких процедурах:
- Косметологическая чистка лица (механическое удаление прыщей). Плюсы заключаются в быстром избавлении от симптомов демодекса. Минус состоит в том, что посредством чистки нельзя уничтожить самих вредителей. Даже после чистки клещи продолжат существовать и размножаться.
- Высококонцентрированные средства уничтожения. Такая методика в буквальном смысле позволяет избавиться от поврежденных верхних слоев кожи лица. На ней образуются ожоги, похожие на солнечные, кожа начинает шелушиться. В процессе регенерации верхние слои сходят, а нижние становятся чистыми. Однако эффект длится недолго, ведь со временем клещ снова дает о себе знать.
Если применять эти методы в комплексе с другими процедурами (как лечить клещ демодекс на лице, подробно описано выше), избавиться от паразитов удается гораздо быстрее и эффективнее. Именно поэтому стоит рассмотреть эти способы более детально.
Чистка лица
Чистка лица — косметическая процедура, которая позволяет быстро избавиться от большинства видимых недостатков кожи, в том числе прыщей и черных точек. Чистка лица бывает двух видов — ручная и механическая. Если первая известна еще со времен СССР, то вторая появилась относительно недавно и вызывает некоторые сомнения у большинства посетительниц салонов красоты.
Проводить механическую чистку можно лишь в тех случаях, если на лице пациентки нет открытых или закрытых комедонов. Комедон — своего рода «пробка», которая образуется из-за закупорки волосяного фолликула. Предшествуют этому скопления грязи и кожного сала, перекрывающие поры.
Если комедоны на лице отсутствуют и нет никаких других медицинских противопоказаний (индивидуальная непереносимость используемых препаратов), можно проводить механическую чистку.
Механическая чистка лица
Довольно часто механическую чистку упоминают как один из способов лечения симптомов клеща демодекс на лице. Однако, как уже стало понятно, с ее помощью можно лишь избавится от последствий демодекоза, а само уничтожение паразита происходит несколько сложнее.
Тем не менее стоит подробнее рассмотреть эту косметологическую процедуру, ведь делать ее можно не только для устранения недостатков, но и в качестве профилактики их возникновения. Механическая чистка лица происходит в несколько этапов:
- Первым делом лицо пациента обрабатывают составом, способствующим расширению пор. Это может быть специальный крем, лосьон или маска. После того, как удастся добиться необходимого эффекта, косметолог приступает к следующему этапу обработки.
- При помощи стерильных обработанных инструментов проводится механическая чистка лица — удаление черных точек и прочих образований. Эту процедуру также называют комедоноэкстракцией.
- В завершающий этап входит дезинфекция и применение успокаивающих средств для кожи. Как правило, для этого используются различные тоники и лосьоны. Разные косметологи могут практиковать в своей работе продукты различных косметических брендов.
Сразу после чистки нельзя делать макияж. Через время процедуру нужно повторить. Длительность курса определяется специалистом и зависит от индивидуальных особенностей клиента.
Плюсы и минусы
Хоть в настоящее время механическая чистка и считается наиболее распространенной косметологической процедурой, у нее есть как свои сторонники, так и противники. Последние, аргументируя свое негативное отношение к механической чистке, приводят такие доводы:
- Данная процедура является довольно болезненной, чего нельзя сказать о ручной чистке.
- После нее могут оставаться рубцы и пятна. Именно поэтому чаще всего механическая чистка проводится в комплексе со специальным противовоспалительным препаратом, который помогает эффективно бороться с пигментными пятнами, выравнивает цвет кожи и улучшает регуляцию себосекреции.
- Механическая чистка противопоказана в случаях, когда у пациента наблюдаются воспаления и комедоны на лице. Если косметолог по каким-либо причинам не учтет эти факторы и проведет чистку, есть риск развития раздражения и распространения сыпи.
К плюсам механической чистки можно отнести высокую эффективность. Ни один другой препарат и ни одна другая процедура не дадут такого результата, как она.
Ручная чистка
Как можно понять из названия, единственный инструмент, которым работает косметолог во время такой чистки, его руки. При этом остальные этапы чистки в этом случае остаются такими же.
В первую очередь кожу лица пациента обрабатывают специальным составом, который помогает расширить его поры. А в завершение всего процесса на лицо наносят успокаивающий тоник или лосьон для снятия воспалений.
Главное отличие этих методов — в том, что во время ручной чистки удаление прыщей и черных точек происходит путем надавливания на них непосредственно пальцами специалиста. Считается, что этот способ менее травматичен. После него практически не остается никаких следов, чего нельзя сказать о механической чистке. Однако и эффект от такой процедуры ощущается гораздо слабее.
В настоящее время в большинстве салонов красоты и студий косметологии практикуют механическую чистку, несмотря на то, что ручная все же является более уважаемой и востребованной. Есть также и другие виды удаления недостатков с лица. Среди них ультразвуковая, лазерная и вакуумная чистки. Однако пациентом, страдающим от демодекоза, они не так нужны, как внутреннее вмешательство и уничтожение паразитов посредством приема лекарственных средств.
Самостоятельное лечение
Как уже говорилось выше, лечение клеща демодекс должно происходить комплексно. В этих случаях применяются как наружные методы — мази, крема, лосьоны и прочее — так и внутренние в виде антибактериальных медицинских средств. Назначать эти препараты должен врач-дерматолог, в крайнем случае косметолог.
Самостоятельно устанавливать себе диагноз и начинать лечение, изучив информацию в Сети, крайне не рекомендуется. Есть риск усугубить ситуацию, применяя те способы, которые не подходят для лечения конкретного заболевания, ведь прыщи на лице не обязательно указывают на клещ демодекс.
Отзывы пациенток о лечении демодекоза в основном положительные. Все они отмечают заметные улучшения внешнего вида кожи лица уже после нескольких недель применения лекарственных препаратов. Окончательное выздоровление наступает по завершении курса, который может длиться от 1 до 3 месяцев, иногда дольше.
При этом, как отмечают девушки, в процессе лечения на лице периодически появляются новые прыщи. Не стоит пугаться. Это вполне нормальное явление, ведь продуктам жизнедеятельности паразитов, скопившимся под кожей за время пребывания там клещей, необходимо время на то, чтобы окончательно выйти наружу.
Мази при демодекозе
Мазей от клеща демодекс не существует, ведь и клещ — это не заболевание, а паразит, живущий на лице человека. Однако можно найти множество косметических средств, спасающих от результатов его деятельности — прыщей, воспалений, зуда, жирного блеска и других недостатков кожи.
Назначать определенный препарат должен специалист. Обычно его выбор падает на средства из нижеприведенного списка:
- Серная мазь — средство на основе серы, известной своими антипаразитарными и противовоспалительными свойствами. Компоненты мази отлично успокаивают раздраженные участки кожи. Уже с первого дня применения средства живущие внутри паразиты начнут погибать.
- Цинковая мазь — еще один распространенный способ борьбы с кожными заболеваниями. В ее составе преобладают цинк и вазелин, а эти компоненты являются отличными помощниками в борьбе с подкожным клещом. Кроме того, препарат обладает противовоспалительным свойством, отлично подсушивает зараженные участки и уменьшает покраснения.
- Перметриновая мазь — отлично помогает при лечении демодекоза, в частности из-за пиретроида (перметрина), входящего в ее составе. Эти вещества, полученные искусственным путем, способны проникать сквозь защитную оболочку демодекса и уничтожать его изнутри.
- Бензилбензонат — универсальное средство для лечения различных кожных заболеваний. Точно так же, как перментиновая мазь, может проникать через панцирь клеща и воздействовать на него напрямую. Уже через час после контакта активных компонентов мази и паразита последний гибнет. Чаще всего препарат выписывают пациентам с ослабленным иммунитетом, так как он не только лечит текущие заболевания кожи, но и препятствует их повторному возникновению.
- Ихтиоловая мазь — антисептическое средство, которое при лечении демодекоза используется в качестве дополнительного препарата. Мазь обладает обезболивающими свойствами и не имеет побочных эффектов. Назначается врачом с учетом индивидуальных особенностей пациента.
- Мазь «Ям» — «убойный» для паразитов крем, который состоит из ацетилсалициловой кислоты, серы, дегтя и скипидара. По отдельности эти компоненты оказывают губительное воздействие на подкожного клеща, а совместно их эффект только усиливается.
Стоит отметить, что период использования мази должен устанавливать врач в зависимости от тяжести развития демодекоза у пациента. Наружные средства наносятся тонким слоем на всю кожу или только поврежденные участки. При этом важно избегать попадания в глаза и не увеличивать самостоятельно дозировку без рекомендации врача, ведь это может привести к аллергическим реакциям и другим неприятным последствиям.
Антибиотики для лечения демодекоза
Вместе с мазями и другими наружными средствами при лечении демодекоза обычно назначаются антибиотики широкого спектра или другие антибактериальные препараты. Самыми популярными и часто используемыми из них являются «Метронидазол», «Трихопол» и «Орнидазол».
«Метронидазол» может применяться как самостоятельное, так и как вспомогательное средство. Выпускается в форме таблеток, свечей и мази. При лечении главное для пациента — полностью исключить алкоголь, ведь даже малейшая доза спиртного может полностью перечеркнуть весь эффект действия этого антибиотика.
«Трихопол» имеет аналогичные рекомендации к применению — совмещать его с алкоголем строго запрещено. Среди всех препаратов такого типа он считается одним из самых действенных, поэтому чаще других назначается врачами. Используется не только для лечения кожных заболеваний, но и для борьбы с трихомонозом и малярией.
«Трихопол» противопоказан людям с почечной недостаточностью и поражениями ЦНС, больным эпилепсией, лейкопенией. Также препарат запрещено принимать во время кормления грудью и беременности.
«Орнидазол» реже других лекарственных средств назначается при лечении демодекоза, так как имеет такие побочные эффекты, как тошнота, головная боль и сонливость. При превышении дозировки этого препарата также могут наблюдаться сбои в работе ЦНС. Несмотря на это, «Орнидазол» является довольно эффективным средством при лечении хламидоза, лямблиоза и тризомоноза. Форма выпуска препарата — таблетки и капсулы.
Советы
Главная рекомендация для людей, столкнувшихся с проблемой появления сыпи на лице и симптомов демодекса — посетить врача-дерматолога, который сможет точно подтвердить или опровергнуть наличие паразита. Далее стоит точно следовать указаниям специалиста, исключить из рациона вредные продукты (мучное, сладкое, жирное), внимательно следить за собственной гигиеной и чистотой дома.
Важно регулярно стирать постельное белье, особое внимание уделить подушкам. Что касается медикаментозного лечения, то его должен назначать врач. После того, как все паразиты будут уничтожены, можно приступать к уходовым процедурам — чисткам и пилингам.
Стоит отметить, что данный паразит может обосноваться не только на отдельных участках лица, но и в области глаз. Клещ демодекс очень любит волосяные фолликулы, поэтому часто появляется на ресницах или бровях.
В таких случаях основным симптомом присутствия паразита будут желтоватые образования у оснований волосков. Глазной клещ демодекс лечится такими же методами, что и обычный.
Демодекс – это микроскопический (размером 0,3 мм) клещ, паразитирующий в сальных железах кожи, железах хрящей век, а также волосяных фолликулах людей и животных. Несмотря на свои невнушительные размеры, демодекс способен принести значительный вред организму, на котором он паразитирует. Согласно исследованиям, более 95 % людей (в независимости от возраста и национальности) являются носителями этого паразита.
Причины демодекса
Самый большой вред демодекс приносит организму «хозяина», если проникает в глубинные слои кожи, поскольку именно там, в сальных железах, железах хрящей век, есть вещества, необходимые клещу для роста и развития. Поэтому демодекс проникает очень глубоко под кожу в волосяные фолликулы, и, в процессе своей жизнедеятельности, поглощает необходимые вещества из корней, желез и самих волос. Но этим вред демодекса не ограничивается: ежедневно (в вечернее время) клещ выходит из глубоких слоев кожи на её поверхность, а возвращаясь назад, заносит с собой множество различных вредоносных бактерий. Этими бактериями впоследствии заражаются железы кожи, вызывая её сильное раздражение, шелушение и покраснение, а также провоцируя возникновение прыщей и угрей. Человек, на котором паразитирует клещ, часто чувствует зуд и то, как под поверхностью кожи что-то ползает. При этом появление прыщей означает усиление негативного действия клеща на кожу больного, вызванного уже сбоями естественного обмена веществ.
Пока демодекс не погрузился в толщу кожи, а находится в радиусе её основного поверхностного слоя, иммунная система человека на него не реагирует.
Что же провоцирует глубокое проникновение клеща?
Таких причин несколько:
- Длительное использование кортикостероидных мазей. Это иногда приводит к тому, что самка клеща демодекса может отложить яйца глубоко под кожей зараженного человека. Химический состав кожного сала изменяется, вызывая ответную реакцию иммунитета на это изменение, тем самым запуская процесс раздражения. Иммунитет, таким образом, реагирует на присутствие постороннего организма, но реагирует не в том месте, в котором необходимо. Именно так и развивается патологическая реакция организма.
- Снижение иммунитета и некоторые иммунные заболевания. Это позволяет клещу активно распространяться, вызывая хронические формы демодекоза.
- Болезни ЖКТ (желудочно-кишечного тракта).
- Стрессы, нервное перенапряжение, психические заболевания.
- Сбои в липидном (жировом) обмене веществ.
- Нейроэндокринные заболевания.
- Использование косметики с гормонами и биодобавками.
- Частое посещение бань и саун и длительное пребывание в них.
- Неумеренное пребывание на солнце с целью приобретения загара
Болезнь, которую вызывает клещ демодекс, называется демодекоз.
Демодекс: симптомы
Симптомы демодекса не являются типичными, чем значительно затрудняют раннюю диагностику заболевания. Можно привести лишь те признаки демодекоза, которые встречаются у большинства зараженных:
- всевозможные новообразования на коже лица (угри, сыпь, язвочки, гнойные прыщики, розовые угри и т.п.), а при долгосрочном протекании заболевания, прыщи могут возникать также на груди, спине, бедрах;
- появление красных пятен на лице;
- высокая жирность и пористость кожи. Особенно это заметно на пораженных участках кожи (обычно это щёки и кожа на носу), которые имеют характерный вид: сальный, иногда кажущийся влажным, блеск;
- оттенок лица становится очень нездоровым, бледным, порою даже землисто-серым;
- значительные изменения поверхности кожи (она становится бугристой, поскольку в её глубине образуются «рубцовая» грубая ткань, а также мелкие твёрдые комочки кальция);
- появление трудностей при движении мимических мышц лица;
- нос может увеличиться в размерах. При «риноформе» заболевания такое увеличение может быть очень значительным, нос при этом приобретает сливовый (красно-синий) оттенок.
- Ощущение зуда, ползания под или на коже, легкое щекотание. Иногда больные этого не замечают, просто автоматически почесывая пораженную область;
- усиление зуда вечером и ночью. Это происходит потому, что клещ демодекс наибольшую активность проявляет именно в темное время суток, поскольку именно в это время происходит спаривание особей;
- чешется волосистая часть головы, выпадают волосы. демодекс – частая причина по которой происходит преждевременная потеря волос.
- чешутся веки в районе ресниц. Этот симптом демодекса, пожалуй, один из самых типичных для этого заболевания, поскольку демодекс очень часто обитает именно в корнях ресниц;
- истончение и выпадение ресниц;
- чешутся уши (обычно зуд ощущается в области ушных раковин).
Локализация проявлений демодекса
Демодекс на лице локализуется в основном на крыльях носа, носогубных складках, на подбородке. Из-за частоты проявлений на лице именно в этих местах, их называют «треугольник демодекса». На голове также поражаются ресницы, волосистую часть головы, ушные раковины, шею. Если заболевание в значительной мере запущенное и длительное, то проявления демодекса могут также появиться на груди и на спине (в редких случаях).
Становится понятно, что клещ демодекс выбирает для обитания места, где возможно повышенное салоотделение на коже, а также в волосяных фолликулах.
Анализ на демодекс
Чтобы определить наличие паразита, делается специальный анализ кожи- соскоб на демодекс. Процедура соскоба совершенно безболезненна, и пройти её просто необходимо, поскольку похожие на демодекоз проявления бывают и при некоторых других кожных заболеваниях (например, при розацеа или обычной угревой болезни). Схожесть таких проявлений приводит к тому, что люди путают эти заболевания, пытаясь применить традиционные лечебные средства. В результате неправильного лечения демодекоз может довольно сильно обостриться.
В современных лабораториях врачи смогут не только определить наличие в коже клеща демодекса, но и его вид. Таких видов два: длинный и короткий демодекс:
- Длинный клещ демодекс (demodex folliculorum longus) имеет вытянутое, червеобразное тело. Размер его достигает 0,480 мм. Этот вид клеща обитает в волосяных фолликулах.
- Короткий клещ демодекс (demodex folliculorum brevis) имеет длину тела до 0,128 (у самцов) и до 0,176 мм. (у самок). Место его обитания – сальные железы.
Определить вид демодекса важно, поскольку от этого может зависеть продолжительность проводимого лечения.
Демодекс: лечение
Лечение демодекоза предполагает, в первую очередь, соблюдение диеты, которая необходима для улучшению общего состояния кожи. Необходимо исключить (или значительно уменьшить) потребление жирных, жареных, острых, копченых, сладких и сдобных продуктов, также нежелательно употреблять сладкие газированные напитки. Естественно, не способствуют здоровью кожи алкоголь и курение, поэтому их также не должно быть в жизни человека зараженного демодексом. Необходимо также отрегулировать режим дня: уменьшить физические и психические нагрузки, отвести большее место регулярному отдыху и полноценному сну. Стоит позаботиться и о дополнительной защите кожи от воздействия прямых солнечных лучей и негативного воздействия других неблагоприятных погодных условий (ветра, пыли, мороза). Больным демодекозом также нельзя париться в бане. Лучшая водная процедура – душ со слегка теплой водой. Менять нательное и постельное белье необходимо каждый день (если нет такой возможности, ежедневно менять наволочку), тщательно стирать и гладить его.
Лечение демодекоза медикаментами
Такое лечение включает в себя общеукрепляющее лечение (в том числе направленное и на укрепление иммунитета): поливитамины, иммуномодулирующие препараты. Далее назначаются специальные лекарственные препараты, направленные непосредственно на уничтожение демодекса (например, метронидазол и тиберал). Кроме того необходимо будет пройти местное противовоспалительное лечение (мази, кремы, лосьоны). Исходя из состояния больного, врач также может назначить препараты для нормализации состояния капилляров (мелких кровеносных сосудов кожи). Поскольку болезнь часто сопровождается аллергическими реакциями, доктор может выписать ещё и антигистаминные (противоаллергические) лекарства. Если же у пациента есть признаки возникновения вторичной инфекции на фоне демодекоза (заражение кожи стафилококками и стрептококками), то применяют антибиотики. Вспомогательное лечение демодекоза включает: препараты искусственной слезы при синдроме «сухого» глаза, обработку краев век раствором димексида, массаж век (если нарушены функция желез). Д’Арсонваль, магнитотерапию, электрофорез на веки и другие средства.
Домашние способы избавления от демодекса
Среди домашних способов лечения демодекоза немало очень действенных. Однако надо учитывать, что при любом методе лечения необходимо будет откорректировать диету и вести здоровый образ жизни. Кроме того, к домашнему лечению стоит отнестись серьёзно, и если оно предполагает использование каких-то аптечных препаратов, то стоит посоветоваться с врачом, прежде чем применять их. И уж конечно не стоит пользоваться совсем уж «дикими» методами (такими, например, как сбрызгивание кожи дихлофосом и прижигание горячим утюгом), которые не только не помогут избавиться от демодекса, но и значительно навредят здоровью.
Лечение демодекоза мазями
Параллельно с лечением другими препаратами, проводят лечение демодекса мазями. Например, можно воспользоваться мазью «Бензилбензоат» (отечественного или импортного производства), которую можно наносить на пораженные места по три или четыре раза в день. Иногда в процессе лечения кожа может воспалиться сильнее, чем было раньше, но это нормально, кожа постепенно восстановится.
Также хорошими противоклещевыми препаратами считаются: желтая ртутная мазь (1–2%) и цинкихтиоловая мазь. Применять желтую ртутную мазь можно не более четырех недель, поскольку она токсична.
Кроме того, для лечения демодекса на лице могут использоваться следующие мази: ихтиоловая, перметрин (1%), амитразол, линдан (1%), кротамитон (10%).
Еще один народный совет – мазать лицо самодельной мазью, приготовленной из молодила (чистый солидол) смешенного напополам с оливковым маслом. Покупается солидол в любом автомагазине. Также нередки случаи излечения от демодекоза при помощи серной мази.
Лечение демодекоза хлорофиллом
Неплохо зарекомендовало себя в лечении демодекоза и такое средство как жидкий хлорофилл. Его рекомендуют закапывать в глаза (по три капли в каждый), а в качестве мази для век и вокруг них использовать мазь «Амитрозин». Жидкий хлорофилл лучше всего купить. Хотя и стоит он недешево. Самостоятельно приготовить жидкий хлорофилл, путем выжимания сока из листовой зелени, достаточно трудно, поскольку такую жидкость трудно обеззаразить в домашних условиях, да и действие свежего хлорофилла сильно ограничено во времени (менее 15 минут с момента приготовления). В добавок к лечению хлорофиллом, рекомендуется умываться хозяйственным мылом, а в рационе питания увеличить количество блюд содержащих калий и витамин А. Также рекомендуется питье воды, в которую добавлена столовая ложка меда (на стакан), чайная ложка яблочного уксуса и капля йода.
Лечение демодекоза щелочными препаратами
Поскольку демодекс довольно чувствителен к щелочным препаратам, можно использовать их при местном лечении проявлений демодекса на лице. Веки (самый край) можно осторожно протереть намыленной дегтярным или хозяйственным (но не туалетным!) мылом и ватной палочкой. Не смывать. Также допускается аккуратное протирание век 70%-м спиртом. Кроме того, сейчас многие фирмы выпускают специальные комплексные наборы для лечения демодекса, куда входят щелочные средства для умывания, а также лечебные мази, лосьоны и.т д. Сейчас очень популярны наборы типа «Демодекс комплекс» и «Демодекс стоп».
Лечение демодекоза лекарственными травами
При демодексе век часто используют пижму, приготовляя раствор путем заливания одной ложки травы кипятком и настаивании в течение двух часов. Раствором следует пропитать ватные диски и на полчаса прикладывать их на веки или другие пораженные демодексом места. Раствор пижмы нужно готовить ежедневно, поскольку при хранении он теряет свойства. Также хорошо помогает аналогично приготовленная настойка из ягод можжевельника. Следует помнить, что применяя лечение демодекоза компрессами из лечебных трав, нельзя пользоваться горячими растворами. Компрессы должны быть чуть тёплыми или слегка охлажденными. Из спиртовых травяных настоев для протирания лица можно использовать настойки календулы или эвкалипта.
Лечение демодекоза стрептоцидом
Стрептоцид часто используют для лечения и профилактики от клеща демодекса. Для этого, растертым в порошок стрептоцидом протирают лицо. До применения стрептоцида нужно тщательно вымыть лицо, распарив его, чтобы дать возможность лечебному средству быстрее проникнуть под кожу. Применяется это средство один раз в сутки.
Лечение демодекоза средствами от глаукомы
Эти лекарственные препараты парализуют мускулатуру клещей демодекс:
Время лечения демодекоза зависит от состояния больного и может занимать от нескольких месяцев до года. Это будет зависеть от типа кожи, возраста, а также наличия других заболеваний. При адекватном лечении и прохождении полного курса лечения возможно избавиться от демодекса и избежать рецидивов демодекоза.
Проявление на коже неприятных симптомов очень часто образуется в результате повреждения кожным клещом. Такой вид заболевания очень сильно беспокоит многих людей, которые столкнулись с таким видом клеща. Особенно много дискомфорта доставляет кожный клещ на лице.
Заражение происходит очень быстро, распространяется по всему лицу, включая область роста волос. К появлению такого вида кожного заболевания может приводить большое количество факторов внешнего окружения и проблем с работой внутренних органов.
Клещ кожный не имеет свойства исчезать самостоятельно, для его устранения требуется использование специальных лекарственных препаратов и своевременного обследования. При отсутствии лечения может наблюдаться ухудшение состояние и поражение обширной площади тела.
Что такое демодекс?
Появление кожного клеща именуют в медицине как демодекс. Рассмотреть такой организм невооружённым глазом невозможно, клещ кожный имеет микроскопичные размеры, наиболее часто локализуется в области лица, шеи, груди и плеч.
Особенности демодекса:
- Наибольшее количество кожного клеща имеется в сальных железах;
- У человека клещ кожный может обитать длительное время в верхних слоях кожи и не вызывать никаких неприятных симптомов;
- После ослабления иммунитета или в случае нарушения защитных функций кожи клещ имеет свойство проникать в глубокие слои, образовывать гнойные воспалённые образования;
- Наиболее часто страдают таким видом кожного заболевания женщины;
- Для выявления вида заболевания необходимо пройти специальный вид диагностики, в процессе которой будет выявлен источник неприятных симптомов.
Как выглядит клещ?
Рассматривая под микроскопом составляющие воспалённых образований можно увидеть:
- Клещ демодекс, относится к виду железницы угревой, размножение которого происходит в сальных железах;
- Внешне напоминает тонкого червя прозрачного цвета;
- Оболочка клеща не имеет цвета, но обладает плотностью;
- Размер клеща в среднем 0,4 мм;
- Передвигается кожный клещ с помощью чешуек;
- Питается демодекс клетками кожи и подкожным жиром.
Источник и причины возникновения
Клещ может проживать на коже и волосяных покровах практически у каждого второго человека.
Однако, при нормальных условиях функционирования внутренних органов дальнейшее распространение клеща не происходит. Такое заболевание также называется демодекоз.
Причины возникновения заболевания следующие:
Нарушение работы пищеварительных органов;
Частые нервные срывы; Недостаточный или чрезмерный уход за кожей; Неправильно подобранная косметика; Чрезмерное посещение саун и солярий; Чрезмерное употребление кофе и вредными привычками; Острая пища; Снижение функционирования эндокринной железы.
Признаки и симптомы заболевания
Очень часто заражение клещом путается с угревой сыпью и не используется правильное лечение.
Демодекс проявляется следующими первыми признаками:
Кожа становиться более жирной и наблюдается визуальное расширение пор;
Образование мест на коже, имеющих повышенный уровень блеска; Краснота и отечность кожных покровов; Зуд в ночное время; Появление на ресницах чешуек, которые могут приводить к жжению и зуду.













